104

UNIDADE 4. O corpo humano

Imagem: Fotografia complementar das páginas 104 e 105. Menina de cabelo longo preto, vestindo camiseta laranja e bermuda azul, sobre o corpo há uma ilustração de um coração com as veias ligadas por todo o corpo. Menina de cabelo longo castanho, vestindo camiseta verde e bermuda azul, sobre o corpo há uma ilustração de dois pulmões, chutando uma bola. Menino de cabelo curto preto, vestindo camiseta vermelha e bermuda azul, sobre o seu corpo há ilustração do sistema digestivo com estomago e intestino. Os três estão em um campo de futebol com casas nos arredores. Fim da imagem.

LEGENDA: Representação esquemática de partes internas do corpo humano. (Imagem sem escala; cores fantasia.) FIM DA LEGENDA.

105

Boxe complementar:

Primeiros contatos

  1. Você já pensou em como é seu corpo por dentro?
  1. Para onde vai o ar que você respira?
  1. E o alimento que você ingere?
  1. O que você sabe sobre o corpo humano? O que gostaria de saber?

Fim do complemento.

106

DESAFIO À VISTA!

Capítulo 11

Neste capítulo, você vai identificar os elementos que são fundamentais na constituição e no funcionamento dos sistemas de nosso corpo.

Qual é a menor parte viva do corpo? Como ela se organiza e de que precisa para garantir o funcionamento do corpo?

CAPÍTULO 11. O corpo é organizado

Você sabe quais são as estruturas que compõem seu corpo?

Que tal realizar uma atividade para pensar sobre isso?

Imagem: Ícone: Desenho. Fim da imagem.

  1. Observe a imagem abaixo. Depois, faça um desenho para representar o que você imagina que há por dentro do tronco e dos braços.
Imagem: Fotografia. Menina de cabelo longo preto, vestindo camiseta preta e bermuda azul, meia longa e chuteira amarela. Está segurando uma bola de futebol. Fim da imagem.
  1. Lembre-se de fazer o contorno do corpo na mesma posição da criança da imagem.
  1. O que você desenhou dentro do corpo? Nomeie as estruturas desenhadas.

Desenhar as estruturas que fazem parte do corpo humano foi muito importante para os primeiros estudos de anatomia.

A anatomia é a ciência que estuda a estrutura e a organização das partes do corpo dos seres vivos.

Boxe complementar:

Fique por dentro

Doutora Judy Moody

Megan McDonald. São Paulo: Salamandra, 2006.

Esse livro narra as aventuras de Judy ao descobrir o tema do novo projeto de Ciências da escola: Maravilhas do Corpo Humano.

Fim do complemento.

107

A menor estrutura viva

O corpo humano é composto de diversas estruturas. A célula é a menor porção viva de nosso corpo e de outros seres vivos.

A maioria das células é capaz de realizar todas as funções necessárias à sua sobrevivência. Cada célula tem mecanismos que garantem seu funcionamento: ela respira, digere nutrientes, relaciona-se com o ambiente que a envolve, entre outras funções.

O corpo humano é formado por milhões de células. Há mais de 200 tipos diferentes de células em nosso corpo e cada um deles realiza atividades distintas.

Veja a representação esquemática de alguns tipos de célula que formam o corpo humano.

Imagem: Ilustração. Células em formato de losango vermelho com parte central arredondada e núcleo azul no centro. Fim da imagem.

LEGENDA: Células que formam alguns músculos. FIM DA LEGENDA.

Imagem: Ilustração. Célula com núcleo e tentáculos nos arredores. Fim da imagem.

LEGENDA: Célula que forma os ossos. FIM DA LEGENDA.

Imagem: Ilustração. Célula maior com cinco tentáculos se dividindo em tentáculos menores. Sexto tentáculo maior ramifica também em menores. Fim da imagem.

LEGENDA: Célula do cérebro. FIM DA LEGENDA.

Imagem: Ilustração. Células retangulares com núcleo central com tentáculos na parte superior. Fim da imagem.

LEGENDA: Células do pulmão. FIM DA LEGENDA.

Imagem: Ilustração. Células vermelhas arredondadas com parte central levemente afundada. Fim da imagem.

LEGENDA: Células do sangue. FIM DA LEGENDA.

Fonte: TORTORA, G. J.; GRABOWSKI, S. R. Corpo humano: fundamentos de Anatomia e Fisiologia. 6ª ed. Porto Alegre: Artmed, 2004.

Observação: Representação esquemática de algumas células do corpo humano. (Imagens sem escala; cores fantasia.) Fim da observação.

  1. Quais semelhanças e diferenças você observa entre as células representadas acima?

108

Célula: a história da descoberta

Durante muito tempo, pouco se sabia sobre a constituição dos seres vivos. Um grande avanço aconteceu em 1665, quando o pesquisador britânico Robert Hooke (1635-1703) publicou um livro a respeito de suas observações feitas em um microscópio aperfeiçoado por ele.

Hooke observou uma fina camada de cortiça ao microscópio. Ele viu minúsculas estruturas que pareciam celas , com paredes por todos os lados, as quais ele chamou de células. Naquele momento, ele ainda não sabia o que significavam aquelas estruturas.

Glossário:

Cela : cômodo pequeno.

Fim do glossário.

Depois de Hooke, outros cientistas continuaram desenvolvendo microscópios e fazendo observações de diversos materiais: gotas de água, sangue, saliva etc.

Até que, em 1838, um cientista alemão chamado Matthias Schleiden (1804-1881), que estudava a anatomia das plantas e observava diversas estruturas pelo microscópio, percebeu que as plantas eram formadas por células. Outro cientista alemão, Theodor Schwann (1810-1882), observou partes de vários animais pelo microscópio e notou que eles também eram constituídos por células.

Depois dessas e de muitas outras evidências, os pesquisadores concluíram que todos os seres vivos são formados por células.

Imagem: Fotografia. Microscópio antigo de madeira com lente central. Fim da imagem.

LEGENDA: Microscópio utilizado por Hooke. FIM DA LEGENDA.

Imagem: Fotografia. Camada com pequenos furos formando uma teia. Fim da imagem.

LEGENDA: Ilustração de uma fina camada de cortiça vista pelo microscópio, publicada no livro de Hooke em 1665. A cortiça é feita de partes mortas da planta. Portanto, as células que Hooke observou estavam mortas; o que ele viu foi o contorno que elas tinham quando estavam vivas. FIM DA LEGENDA.

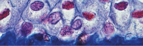
Imagem: Fotografia. Pequenas bolinhas com núcleos centrais. Fim da imagem.

LEGENDA: Células de tecido animal. (Imagem obtida de microscópio óptico, colorizada artificialmente e ampliada cerca de 300 vezes.) FIM DA LEGENDA.

Imagem: Fotografia. Estrutura com bolinhas verdes com pequenas manchas mais escuras. Fim da imagem.

LEGENDA: Células de tecido de planta. (Imagem obtida de microscópio óptico, colorizada artificialmente e ampliada cerca de 400 vezes.) FIM DA LEGENDA.

  1. Faça uma linha do tempo sobre a história da célula, indicando a data, o fato e o cientista responsável por ele.
    • Pesquise outras informações, além das que aparecem no texto, e complemente a linha do tempo.

109

A estrutura básica das células humanas

A maioria das células do nosso corpo é formada por membrana plasmática, citoplasma e núcleo.

Imagem: Ilustração. Estrutura de célula em corte com núcleo central e estruturas no interior. No interior o preenchimento é formado por citoplasma. Nos arredores, a membrana plasmática. Fim da imagem.

LEGENDA: Representação esquemática de uma célula humana. (Imagem sem escala; cores fantasia.) FIM DA LEGENDA.

Fonte: ALBERTS, J. et al. Biologia molecular da célula. 4ª ed. Porto Alegre: Artmed, 2004.

Tecidos

Os grupos de células que apresentam formas semelhantes e desempenham a mesma função formam tecidos.

No corpo humano, há vários tipos de tecido, como o que recobre a superfície do corpo, chamado tecido epitelial; o que forma o cérebro e os nervos, chamado tecido nervoso; e o que forma os músculos, chamado tecido muscular.

Imagem: Ilustração. Um braço com destaque do interior mostrando tecido epitelial, tecido muscular e tecido nervoso. Fim da imagem.

LEGENDA: Representação esquemática da anatomia de um braço e dos tecidos presentes nele. (Imagens sem escala; cores fantasia.) FIM DA LEGENDA.

Fonte: TORTORA, G. J.; GRABOWSKI, S. R. Corpo humano: fundamentos de Anatomia e Fisiologia. 6ª ed. Porto Alegre: Artmed, 2004.

110

Órgãos e sistemas

Os órgãos são formados por diferentes tecidos. O coração, o estômago e os pulmões são alguns órgãos do corpo. Os órgãos que estão envolvidos em uma mesma função formam os sistemas. Por exemplo, órgãos como estômago, intestinos e fígado formam o sistema digestório.

Os sistemas do corpo formam o organismo e agem de maneira integrada para realizar todas as funções necessárias à vida.

Imagem: Fotografia. Menina de cabelo cacheado preto, vestindo camiseta azul e bermuda xadrez azul e preta. No centro, destaque de sistema digestivo mostrando fígado, estômago, pâncreas e intestino. Seguido pelo órgão estômago em corte de vista microscópica. Abaixo, corte de tecido e célula.  Fim da imagem.

LEGENDA: Representação esquemática dos diferentes níveis de organização do corpo humano e dos instrumentos necessários para a sua observação. (Imagens sem escala; cores fantasia.) FIM DA LEGENDA.

Fonte: TORTORA, G. J.; GRABOWSKI, S. R. Corpo humano: fundamentos de Anatomia e Fisiologia. 6ª ed. Porto Alegre: Artmed, 2004.

  1. Observe o esquema acima e responda.
    1. Existe diferença de tamanho entre as estruturas que podem ser observadas com a lupa e as que podem ser observadas ao microscópio?
    1. Qual é a menor estrutura representada no esquema?

Boxe complementar:

Fique por dentro

Corpo humano

Ciranda Cultural, 2017.

Esse livro explora os segredos do corpo humano.

Fim do complemento.

111

Os sistemas em integração

Os sistemas desempenham funções diferentes no corpo humano. Embora sejam integrados, eles podem ser estudados separadamente para facilitar o entendimento de como cada um funciona.

Imagem: Ilustração. Contorno de um corpo com destaque de um esqueleto por todo o corpo. 
Ilustração. Contorno de um corpo com destaque de um cérebro com ligações do sistema urinário com rins em destaque. 
Ilustração. Contorno de um corpo com destaque de um cérebro com ligações do sistema respiratório com destaque do pulmão. 
Ilustração. Contorno de um corpo com destaque de um cérebro com ligações do sistema muscular por todo o corpo. 
Ilustração. Contorno de um corpo com destaque de um coração com ligações do sistema circulatório com veias ligadas ao coração percorrendo por todo o corpo. 
Ilustração. Contorno de um corpo com destaque de um cérebro com ligações do sistema digestivo com destaque do estômago e intestino. 
 Fim da imagem.

LEGENDA: Representação esquemática de diferentes sistemas do corpo humano. (Imagens sem escala; cores fantasia.) FIM DA LEGENDA.

Fonte: TORTORA, G. J.; GRABOWSKI, S. R. Corpo humano: fundamentos de Anatomia e Fisiologia. 6ª ed. Porto Alegre: Artmed, 2004.

  1. Você sabe o nome de algum dos sistemas do corpo humano representados nas imagens? Se sim, qual?

    O crescimento e o funcionamento do corpo humano dependem da atividade das células. É no interior das células que ocorre a transformação da energia necessária para a manutenção da vida. Por isso, elas precisam receber nutrientes, gás oxigênio, água e outras substâncias. Os sistemas do corpo trabalham em conjunto para garantir que esses e outros processos celulares aconteçam.

    Imagem: Ícone: Atividade oral. Fim da imagem.

  1. O que acontece dentro do corpo com o alimento que ingerimos? E com o ar que respiramos?

112

Cada sistema realiza uma função importante para a nutrição e a manutenção do organismo. Mas nenhum sistema é capaz de funcionar sozinho. Eles interagem e dependem uns dos outros. Por esse motivo, dizemos que eles funcionam de forma integrada.

A principal função do sistema digestório é transformar os alimentos em substâncias menores e mais simples que podem ser aproveitadas pelas células. O sistema respiratório capta o gás oxigênio do ar e elimina o gás carbônico que se forma no corpo. Já o sistema circulatório transporta substâncias por todo o corpo, entre elas as obtidas no processo de digestão e os gases da respiração. A principal função do sistema urinário é retirar do sangue substâncias indesejáveis, que são eliminadas por meio da urina.

Imagem: Ilustração. Contorno de um corpo com seu interior todo destacado, indicando cérebro, sistema digestório, circular e respiratório.  Fim da imagem.

LEGENDA: Representação esquemática da localização de alguns sistemas no corpo humano. (Imagem sem escala; cores fantasia.) FIM DA LEGENDA.

Fonte: TORTORA, G. J.; GRABOWSKI, S. R. Corpo humano: fundamentos de Anatomia e Fisiologia. 6ª ed. Porto Alegre: Artmed, 2004.

Imagem: Ilustração. Menina de cabelo preso longo castanho e faixa azul, vestindo camiseta branca com listras vermelhas e calça verde. Está pulando uma corda. Ao redor, setas indicam entrada de alimentos, água, gás oxigênio, e setas indicam saída de gás carbônico, energia e agua. Fim da imagem.

LEGENDA: Os nutrientes e a água, obtidos por meio dos alimentos, e o gás oxigênio podem ser transformados em energia pelas células. Nesse processo, ocorre a produção de gás carbônico e água. A água pode ser aproveitada pelas células, mas o gás carbônico precisa ser eliminado. Em suas atividades, as células produzem outras substâncias que não são aproveitadas e são lançadas no sangue para serem eliminadas. FIM DA LEGENDA.

113

Nutrientes

A maior parte das substâncias necessárias para a vida é obtida por meio de alimentos. Eles fornecem nutrientes, que são substâncias essenciais para o funcionamento das células e do organismo como um todo. Veja a seguir os tipos de nutrientes e de substâncias essenciais à vida e exemplos de alimentos que os contêm em grande quantidade.

Lipídios

Os lipídios fazem parte de diversas estruturas do corpo humano, como as membranas celulares. Eles também fornecem energia ao corpo.

Imagem: Fotografia. Pedaço de manteiga, azeite e óleo. Fim da imagem.

Carboidratos

Os carboidratos fornecem energia ao corpo. No interior das células, esses nutrientes participam da transformação em que ocorre a liberação de energia para suas atividades.

Imagem: Fotografia. Alimentos diversos como pão, grãos, macarrão, batatas e milho. Fim da imagem.

Vitaminas e sais minerais

Esses nutrientes regulam o funcionamento do organismo. Uma vitamina presente em folhas verdes, por exemplo, permite a cicatrização de ferimentos.

Imagem: Fotografia. Frutas e vegetais diversos. Fim da imagem.

Proteínas

As proteínas estão presentes em quase todas as estruturas do organismo. As células, por exemplo, apresentam grande quantidade de proteínas em sua composição. São importantes para o crescimento e o funcionamento do corpo.

Imagem: Fotografia. Carnes, leite, queijo, feijão e ovos. Fim da imagem.

Água

A água não é um nutriente, mas é de grande importância para o corpo. Todas as transformações essenciais para o organismo ocorrem na água presente dentro das células. A água é encontrada na maioria dos alimentos e também deve ser ingerida na forma líquida várias vezes ao longo do dia.

Fibras

Não são nutrientes, mas facilitam a digestão e a absorção dos alimentos.

114

Você sabe o que faz parte de um prato saudável? Em que proporções devemos consumir os diferentes tipos de alimento? Observe o esquema.

Imagem: Ilustração. Um prato com divisão de hortaliças, frutas, proteínas e grãos integrais. Quanto mais hortaliças – e maior a variedade –, melhor. Batatas (cozidas ou fritas) não contam. Coma muitas frutas, de todas as cores. Coma uma variedade de cereais integrais (como pão integral, massa integral e arroz integral). Limite grãos refinados (como arroz branco). Escolha peixe, frango e feijão; limite carne vermelha e queijo; evite bacon, fiambres, carnes embutidas ou processadas. Ilustração. Vidro de óleo. Use óleos saudáveis (como azeite de oliva) para cozinhar e em saladas. Limite manteiga. Evite gorduras trans.  Ilustração. Copo de água. Beba água ou chá (com pouco ou sem açúcar). Limite leite/laticínios (1 a 2 porções/dia) e suco de frutas (1 copo pequeno/dia). Evite bebidas açucaradas.  Fim da imagem.

Fontes: HEALTHY Eating Plate. The Nutrition Source, 2011. Department of Nutrition, Harvard T. H. Chan School of Public Health. Disponível em: http://fdnc.io/d8y; HARVARD Health Publishing. Harvard Medical School. 2010-2020. Disponível em: http://fdnc.io/f9Y. Acessos em: 29 mar. 2021.

  1. Você acha que a quantidade de nutrientes que cada pessoa precisa consumir diariamente é a mesma? Em caso negativo, quais fatores influenciam essa diferença?
    • Depois de levantar algumas ideias, pesquise e monte um cardápio balanceado que esteja adequado às suas necessidades.

115

Conhecer os nutrientes presentes nos alimentos nos ajuda a tomar decisões na hora de consumi-los. Por isso, a informação nutricional presente no rótulo dos alimentos é tão importante. Você pode, por exemplo, comparar um tipo de alimento com outro e escolher o mais nutritivo. Um alimento pode ser considerado mais nutritivo que o outro se apresentar um pouco de cada nutriente, em quantidades equilibradas.

Boxe complementar:

Fique por dentro

Nutriamigos

Disponível em: http://fdnc.io/fa1. Acesso em: 29 mar. 2021.

Nesse canal de vídeos, as personagens apresentam a importância dos alimentos para as funções do organismo.

Fim do complemento.

  1. Observe a informação nutricional de duas bebidas que podem ser consumidas em uma refeição. Qual delas você considera mais nutritiva? Por quê?
Imagem: Ilustração. Copo de refrigerante. Ao lado, placa indica Informação Nutricional – Porção de 200 mL (1 copo). Quantidade por porção. Carboidratos: 21 g. Proteínas: 0. Gorduras totais: 0. Fibras: 0.  Ilustração. Copo de suco de laranja natural. Ao lado, placa indica Informação Nutricional – Porção de 200 mL (1 copo). Quantidade por porção. Carboidratos: 19 g. Proteínas: 1,3 g. Gorduras totais: 0,5 g. Fibras: 0,4 g.   Fim da imagem.
  1. Rótulos de alimentos apresentam informações importantes. Cole em seu caderno o rótulo de alguns alimentos industrializados que sua família consome e responda.
    1. Elabore uma tabela, como a do modelo a seguir, para comparar as quantidades de carboidratos, proteínas e gorduras totais presentes em uma porção de cada alimento. Utilize o número de linhas que for necessário para incluir todos os alimentos escolhidos.

      Tabela: equivalente textual a seguir.

Quantidade da porção

Carboidratos

Proteínas

Gorduras totais

Alimento 1

200 mL

_____

_____

_____

Alimento 2

100 g

_____

_____

_____

  1. Identifique outras informações importantes que devem ser observadas ao consumir o alimento, como a data de validade.

116

Boxe complementar:

Quero saber!

Como fazer boas escolhas de alimentos?

O Guia alimentar para a população brasileira, publicado pelo Ministério da Saúde, apresenta princípios e recomendações de uma alimentação adequada e saudável para a população.

De acordo com o guia, uma boa alimentação deve ser baseada em alimentos in natura ou minimamente processados, limitando a ingestão de alimentos processados e evitando ao máximo os alimentos ultraprocessados. Vamos entender o que são esses alimentos?

Alimentos in natura são obtidos de plantas ou animais e não sofrem alteração, como legumes, frutas, verduras e ovos.

Alimentos minimamente processados sofreram algum processo de limpeza, remoção de parte, moagem, secagem, refrigeração ou congelamento que não envolvem a adição de sal, açúcar, óleo ou gorduras; por exemplo, carnes, leite, grãos e farinhas.

Alimentos processados são alimentos in natura que sofreram a adição de sal ou açúcar, tornando-os mais duráveis, como extrato de tomate, frutas em calda e atum enlatado.

Alimentos ultraprocessados são alimentos fabricados pela indústria a partir de óleos, gorduras, açúcar e proteínas. Além disso, são adicionados corantes e aromatizantes. São exemplos: biscoitos, sorvetes, salsicha e balas.

Imagem: Fotografia. Hortaliças espalhadas como pimentão, tomates, cebola, pimenta, brócolis, tomate cereja, alface, beterraba, pepino e abóbora.  Fim da imagem.

LEGENDA: Alimentos in natura. FIM DA LEGENDA.

Imagem: Fotografia. Cumbucas com cereais diversos como feijão, farinhas, arroz, milho e vidro de leite. Fim da imagem.

LEGENDA: Alimentos minimamente processados. FIM DA LEGENDA.

Imagem: Fotografia. Pote com pêssego em conserva. Lata com pasta. Fim da imagem.

LEGENDA: Alimentos processados. FIM DA LEGENDA.

Imagem: Fotografia. Sorvete em casca cônica. Ao lado, bolachas recheadas. Fim da imagem.

LEGENDA: Alimentos ultraprocessados. FIM DA LEGENDA.

Fonte: BRASIL. Ministério da Saúde. Guia alimentar para a população brasileira. 2ª ed. Brasília: Ministério da Saúde, 2014. Disponível em: http://fdnc.io/ekV. Acesso em: 29 mar. 2021. (Texto adaptado.)

CRÉDITOS: GREG VOTE, VSTOCK/GETTY IMAGES; PHONGSAKON/SHUTTERSTOCK

Fim do complemento.

117

  1. Leia o texto e responda.

    Obesidade infantil: como prevenir desde cedo

    Independente da fase da vida, os cuidados com a saúde precisam ser constantes. Isso inclui a alimentação, a prática de atividade física, o controle do ganho de peso e a manutenção de tantos outros hábitos saudáveis. Como a própria palavra já sugere, hábito é algo constante. E aqueles que começam desde cedo podem se estender pelo resto da vida. [...]

    O que causa a obesidade?

    [...] Quando falamos em obesidade infantil, muitas vezes estamos tocando em dois temas importantes: alimentação e prática de atividade física. Ou seja, a obesidade é caracterizada pelo excesso de peso e é resultado de uma associação de fatores genéticos, ambientais e comportamentais.

    [...] As crianças de hoje em dia estão deixando de lado as brincadeiras para passar mais tempo em frente às telas. [...] Além disso, os hábitos alimentares das famílias foram afetados pelos alimentos processados e ultraprocessados.

    Como tratar e prevenir a obesidade infantil?

    [...] A melhor dica é construir uma força-tarefa entre todos aqueles que atuam na vida da criança. Ou seja, é um trabalho conjunto entre família, comunidade, escola, rede de saúde e outros mais.

    Comece pelas refeições preparadas em casa e baseadas em alimentos in natura ou minimamente processados. Continue a mudança resgatando as antigas brincadeiras e deixando de lado as telas.

    BRASIL. Ministério da Saúde. Obesidade infantil: como prevenir desde cedo. Saúde Brasil , 3 jun. 2020. Disponível em: http://fdnc.io/fa4. Acesso em: 29 mar. 2021.

    1. A obesidade é um distúrbio nutricional. Como ela pode ser prevenida?
    1. A prática de atividades físicas é essencial. Proponha alguma atividade física que possa ser realizada com toda a turma.

Boxe complementar:

Fique por dentro

Obesidade infantil: dicas de prevenção – Inca

Disponível em: http://fdnc.io/fa3. Acesso em: 29 mar. 2021.

A animação, produzida pelo Instituto Nacional do Coração (Inca), mostra algumas recomendações para a prevenção da obesidade infantil.

Fim do complemento.

118

LIGANDO OS PONTOS

Capítulo 11

  1. Observe as imagens e responda.
Imagem: Ilustração. A: Dois órgãos triangulares. B: Célula retangular com núcleo central e tentáculos na parte superior. C: Sistema respiratório em um corpo. D: células retangulares ligadas com núcleos centrais em cada uma e tentáculos na parte superior. Fim da imagem.

LEGENDA: (Imagens sem escala; cores fantasia.) FIM DA LEGENDA.

  1. Ordene as imagens de acordo com os níveis de organização do corpo humano, da menor à maior estrutura, e, depois, elabore um pequeno texto explicando essa organização.
  1. O que significa dizer que essas estruturas funcionam de forma integrada?
  1. Observe a imagem de uma célula do corpo humano e responda.
    1. Que letra indica o local em que estão as estruturas que fazem a digestão e a respiração da célula? Qual é o nome desse local?
    1. Que estrutura pode permitir a entrada ou a saída de substâncias na célula? Que letra indica essa estrutura? Como você chegou a essa conclusão?
Imagem: Ilustração. Estrutura com esfera central indicando A. Preenchimento indica B. Capa protetora indica C. Fim da imagem.

LEGENDA: (Imagem sem escala; cores fantasia.) FIM DA LEGENDA.

119

  1. Antes de uma partida, os jogadores de futebol costumam comer alimentos ricos em carboidratos. Por que eles escolhem esse tipo de alimento?
Imagem: Fotografia. Prato com macarrão. Fim da imagem.

LEGENDA: O macarrão é um alimento rico em carboidratos. FIM DA LEGENDA.

  1. Compare as informações nutricionais dos rótulos dos alimentos a seguir e responda.
Imagem: Fotografia. Pão de forma em saco plástico. Ao lado, tabela com informação nutricional – porção de 100 g. Quantidade por porção. Valor energético: 238 kCal = 980 kJ. Carboidratos: 51 g. Proteínas: 8,6 g. Gorduras totais: 2 g. Fim da imagem.

LEGENDA: Pão integral FIM DA LEGENDA.

Imagem: Fotografia. Lata aberta de atum. Ao lado, tabela com informação nutricional – porção de 100 g. Quantidade por porção. Valor energético: 135 kCal = 565 kJ. Carboidratos: 0 g. Proteínas: 28,3 g. Gorduras totais: 2,7 g. Fim da imagem.

LEGENDA: Atum sólido FIM DA LEGENDA.

Imagem: Fotografia. Saquinho com castanhas-do-pará. Ao lado, tabela com informação nutricional – porção de 100 g. Quantidade por porção. Valor energético: 656 kCal = 2745 kJ. Carboidratos: 12 g. Proteínas: 14 g. Gorduras totais: 66 g. Fim da imagem.

LEGENDA: Castanha-do-pará. FIM DA LEGENDA.

  1. Qual desses produtos tem mais proteínas?
  1. Qual desses produtos tem mais carboidratos?
  1. Qual desses produtos tem mais gorduras?

120

DESAFIO À VISTA!

Capítulo 12

Neste capítulo, você vai identificar a função dos sistemas no processo de nutrição do organismo, explicando a relação entre eles.

Como as partes do corpo interagem para termos energia?

CAPÍTULO 12. Digestão, respiração e circulação

Você já ouviu falar de Leonardo da Vinci, pintor da obra Mona Lisa?

Ele viveu na Itália entre os anos 1452 e 1519. Da Vinci se interessou por muitas coisas, entre elas o estudo da estrutura do corpo humano.

Imagem: Ilustração. Folha com ilustração de um crânio com dois lados diferentes. À esquerda, crânio sem arcada dentária. À direita, crânio completo com arcada dentária. Fim da imagem.

LEGENDA: Neste desenho de 1489, Da Vinci retrata a anatomia do crânio e dos dentes. FIM DA LEGENDA.

A arte e o corpo humano

Sua paixão pela pintura levou-o primeiro a um interesse pelo corpo humano, e quanto mais ele aprendia, mais queria saber. Ia aos hospitais observar os médicos operarem as pessoas. [...] Media os músculos e descrevia suas funções em suas anotações. Desenhava complicados diagramas dos órgãos. Descobriu a maneira como o sangue corre pelo corpo e fez importantes observações sobre os pulmões e o oxigênio. Depois de algum tempo acabou sabendo mais sobre anatomia do que os médicos daquela época. Os esboços anatômicos de Leonardo foram os primeiros desenhos científicos detalhados do corpo humano.

Janis Herbert. Leonardo da Vinci para crianças . Rio de Janeiro: Jorge Zahar, 2002.

Imagem: Ilustração. Folha com ilustração de um corpo com interior de um corpo feminino com destaque de órgãos e alguns ossos centrais. Fim da imagem.

LEGENDA: Neste outro desenho, de 1509 a 1510, Da Vinci representa a anatomia do corpo feminino. FIM DA LEGENDA.

  1. Por que você acha que um artista como Leonardo da Vinci tinha interesse no estudo sobre as partes do corpo humano?
  1. Quais são as diferenças dos estudos do corpo humano na época de Da Vinci e nos dias atuais? Pesquise.
  1. Pesquise o nome de dois exames capazes de analisar as partes internas do corpo humano e indique quais são as estruturas analisadas em cada exame.

121

Sistema digestório

Os órgãos do sistema digestório são responsáveis pela ingestão do alimento, por sua transformação, pela absorção dos nutrientes e pela eliminação do que não pode ser aproveitado. Todo esse processo é chamado digestão.

Na digestão, os nutrientes presentes nos alimentos são transformados em partículas menores e mais simples. Veja a seguir o trajeto dos alimentos e a função de cada órgão do sistema digestório.

Imagem: Ilustração. Menino de cabelo curto cacheado castanho, vestindo camiseta branca. Está comendo uma maçã. Em destaque está o sistema digestivo desde a entrada do alimento, as glânduls salivares até a sequência no fígado, estomago, pâncrea e intestino. Ao redor estão as informações: 1. Na boca, o alimento é mastigado e misturado à saliva, que é produzida nas glândulas salivares e contém substâncias que participam da digestão dos carboidratos. Com a ajuda da língua, o bolo alimentar é engolido. 2. O bolo alimentar passa pela faringe e chega ao esôfago. Movimentos musculares impulsionam o alimento por esse órgão até o estômago. 3. O estômago produz líquidos que participam principalmente da digestão das proteínas. O movimento das paredes musculares do estômago ajuda a misturar o bolo alimentar com esses líquidos digestivos. Após algum tempo, as proteínas vão sendo fragmentadas em substâncias cada vez menores e mais simples. 4. Na primeira porção do intestino delgado, o fígado e o pâncreas lançam líquidos que digerem lipídios, carboidratos e proteínas. O próprio intestino delgado também produz substâncias digestivas. Os músculos do intestino delgado vão misturando e impulsionando as substâncias por esse órgão. Nesse percurso, os nutrientes são transformados em substâncias ainda menores e mais simples, capazes de passar para o sangue que circula pelas paredes do intestino delgado. Essas substâncias são transportadas pelo sangue até as células, onde são utilizadas para gerar energia e para outras funções. 5. Os restos que não foram absorvidos pelo intestino delgado seguem para o intestino grosso. Nesse órgão, grande parte da água é absorvida e passa para o sangue. Bactérias que habitam o intestino grosso auxiliam no processo de formação das fezes, que são compostas de bactérias e dos restos que não foram digeridos. Elas são eliminadas pelo ânus. Fim da imagem.

LEGENDA: Representação esquemática do sistema digestório. (Imagem sem escala; cores fantasia.) FIM DA LEGENDA.

Fonte: TORTORA, G. J.; GRABOWSKI, S. R. Corpo humano: fundamentos de Anatomia e Fisiologia. 6ª ed. Porto Alegre: Artmed, 2004.

122

  1. A que órgão se refere cada uma das frases abaixo?
    1. Conduz o alimento até o estômago.
    1. É responsável pela absorção dos nutrientes.
    1. Nesse órgão, ocorrem a absorção de água e a formação das fezes.
    1. Onde o alimento é mastigado e misturado à saliva.
    1. Produz líquidos que participam, principalmente, da digestão das proteínas.
  1. O fígado e o pâncreas são estruturas importantes na digestão do alimento. Faça uma pesquisa e escreva um pequeno resumo a respeito das funções dessas estruturas.
  1. Observe a imagem e responda.
Imagem: Ilustração. Menino de cabelo curto azul, vestindo camiseta laranja e calça azul. Está assustado com destaque do fígado. À frente há um cachorro caramelo mostrando os dentes. Ao redor, as informações: Os movimentos respiratórios se aceleram, permitindo maior entrada de ar nos pulmões. Quando ocorre um susto, o fígado passa a lançar no sangue maiores quantidades de açúcar. Esse açúcar vai servir de fonte de energia para os músculos na hora de enfrentar o perigo. Em uma situação de perigo, a digestão dos alimentos no interior do tubo digestivo se torna secundária e a atividade dos órgãos do sistema digestório diminui. A circulação de sangue é ampliada nos músculos esqueléticos para gerar mais energia. Esses efeitos estão relacionados com aquela sensação de frio na barriga. Fim da imagem.
  1. O que acontece com o fígado quando estamos em uma situação de perigo?
  1. Por que acontece a sensação de frio na barriga?

123

Sistema respiratório

Para produzir energia, nosso corpo precisa do gás oxigênio presente no ar. Além de oxigênio, inspiramos vários outros gases e poeira.

O sistema pelo qual ocorrem a obtenção de gás oxigênio e a eliminação de gás carbônico é o sistema respiratório.

O ar inspirado passa pelos seguintes órgãos do sistema respiratório: cavidades nasais, faringe, laringe, traqueia, brônquios e chega aos pulmões.

Os pulmões são dois órgãos formados por finos tubos chamados bronquíolos e por minúsculas estruturas que parecem pequenos sacos, chamados alvéolos pulmonares. Os alvéolos são envoltos por vasos sanguíneos muito finos. Nesse local, ocorre a troca gasosa característica da respiração: o gás oxigênio presente no ar do interior dos alvéolos vai para o sangue e chega até as células, onde participa do processo de produção de energia. Esse processo gera gás carbônico, que volta pelo sangue até os alvéolos, e passa para o ar, que é liberado no ambiente por meio da expiração.

Imagem: Ilustração. Homem de cabelo curto, sem camiseta, com órgãos amostra.  Na cabeça, cavidades nasais, faringe e laringe. Seguido por traqueia, brônquios dividindo os pulmões com bronquíolos. Abaixo, diafragma. Ao lado, bronquíolos em destaque com tubos e pequenos tentáculos arredondados. Ao lado, alvéolo, um dos tentáculos com ligação de vaso sanguíneo com bolinhas indicando gás carbônico e oxigênio. Fim da imagem.

LEGENDA: Representação esquemática do sistema respiratório. (Imagens sem escala; cores fantasia.) FIM DA LEGENDA.

Fonte: TORTORA, G. J.; GRABOWSKI, S. R. Corpo humano: fundamentos de Anatomia e Fisiologia. 6ª ed. Porto Alegre: Artmed, 2004.

  1. Durante a respiração, acontecem dois movimentos: a inspiração e a expiração. Qual é a diferença entre eles?
  1. Pesquise o que ocorre com a respiração em uma situação de perigo e explique por que isso acontece.

124

Sistema circulatório

O sistema circulatório se encarrega de transportar substâncias por todo o corpo. Ele é composto pelo coração, vasos sanguíneos e sangue.

O coração é um órgão muscular oco, localizado entre os dois pulmões, voltado para o lado esquerdo do tórax. Se você fechar sua mão, ela terá o tamanho aproximado do seu coração.

Os músculos do coração contraem e relaxam o tempo todo de forma sincronizada. Com esses movimentos, o coração impulsiona o sangue por uma rede de tubos interligados. Esses tubos são os vasos sanguíneos.

As artérias são os vasos que conduzem o sangue que sai do coração. Os vasos que conduzem o sangue de volta para o coração são as veias.

Enquanto alguns vasos levam sangue rico em gás oxigênio para diversas partes do corpo, outros trazem de volta para o coração sangue com pouco gás oxigênio, pois parte dele já foi consumido pelas células. Esse sangue é então levado aos pulmões para que ocorra a troca gasosa.

O sangue é composto de diversas células mergulhadas em uma parte líquida chamada plasma. Ele realiza várias ações importantes em nosso corpo: o transporte de substâncias, como água e nutrientes, e de gases, como oxigênio e gás carbônico; o controle da temperatura; a cicatrização; a proteção contra doenças; entre outras funções.

Imagem: Ilustração. Contorno de um corpo com destaque de um coração com ligações do sistema circulatório com veias e artérias ligadas ao coração percorrendo por todo o corpo. Veias estão ilustradas como azuis entrelaçadas nas artérias vermelhas. Fim da imagem.

LEGENDA: Representação esquemática do sistema circulatório. Para que o sangue chegue às diversas células do corpo, os vasos sanguíneos se ramificam em tubos cada vez mais finos. (Imagem sem escala; cores fantasia.) FIM DA LEGENDA.

Fonte: TORTORA, G. J.; GRABOWSKI, S. R. Corpo humano: fundamentos de Anatomia e Fisiologia. 6ª ed. Porto Alegre: Artmed, 2004.

  1. Localize os pulmões na imagem acima. Leia novamente o texto e explique a relação entre o sistema circulatório e os pulmões.
  1. O coração acelera em uma situação de perigo. Pesquise e explique a função que essa aceleração tem no organismo.

125

Sistema urinário

As substâncias que resultam das transformações que ocorrem nas células circulam no sangue. Entre elas há elementos tóxicos e elementos que podem ser reaproveitados pelo corpo. O sistema urinário é responsável por separar e eliminar os elementos que estão dissolvidos no sangue e que não são necessários ao corpo. Vasos sanguíneos levam o sangue contendo essas substâncias até os rins, nos quais ocorre essa separação.

Nos rins acontece a filtração do sangue, separando os elementos que precisam ser retirados dele e devolvendo ao sangue aqueles que podem ser reaproveitados pelo corpo. Os rins, os ureteres, a bexiga urinária e a uretra são órgãos do sistema urinário.

Imagem: Ilustração. Destaque de tronco de um corpo humano. Há destaque de órgãos ligados a vasos sanguíneos: 1 - A principal função dos rins é filtrar o sangue que passa por ele, retirando as substâncias que precisam ser eliminadas do corpo; 2 - Os ureteres são canais que transportam a urina formada nos rins para a bexiga urinária; 3 - A bexiga urinária é um órgão muscular que armazena a urina antes de ela ser eliminada; 4 - A uretra é o canal que liga a bexiga urinária à parte externa do corpo, por onde a urina é eliminada. Fim da imagem.

LEGENDA: Representação esquemática do sistema urinário. (Imagem sem escala; cores fantasia.) FIM DA LEGENDA.

Fonte: TORTORA, G. J.; GRABOWSKI, S. R. Corpo humano: fundamentos de Anatomia e Fisiologia. 6ª ed. Porto Alegre: Artmed, 2004.

A urina

Os resíduos tóxicos que foram retirados do sangue pelos rins são diluídos em água e formam a urina. A cor da urina depende de dois pigmentos, que podem estar mais concentrados ou mais diluídos, dependendo da quantidade de água consumida diariamente. A urina concentrada é mais escura e pode ser um sinal de desidratação. A urina mais clara, por sua vez, é sinal de boa hidratação do organismo.

Imagem: Tabela. Tabela de coloração de urina. Oito tons de amarelo do mais claro para o mais escuro. Três tons mais claros indicam: Parabéns! Você está bem hidratado. Três tons do meio indicam: Atenção! Você não está bem hidratado. Dois últimos tons mais escuros indicam: Cuidado! Você pode estar desidratado. Fim da imagem.

Fonte: ARMSTRONG, L. et al. Urinary indices of hydration status. International Journal of Sports Nutrition, Hanover, v. 4, 3. p. 265-279, 1994.

126

LIGANDO OS PONTOS

Capítulo 12

  1. Atletas fazem bastante esforço físico em uma competição como a natação.
Imagem: Fotografia. Mulher de touca e óculos aquático nadando. Fim da imagem.
  1. De onde vem a energia que a atleta utiliza nessa atividade?
  1. Ao colocar a cabeça para fora da água em busca de ar, qual movimento respiratório a nadadora realiza?
  1. Por que, quando o corpo está em movimento, os batimentos do coração ficam mais rápidos do que quando está em repouso?
  1. Elabore uma explicação para a relação entre os sistemas digestório, respiratório e circulatório na atividade realizada por essa atleta.
  1. Você estudou nestes capítulos que os sistemas do corpo funcionam de forma integrada. Observe as imagens e responda.
Imagem: Ilustração. Contorno de um corpo com destaque de um coração com ligações do sistema circulatório com veias ligadas ao coração percorrendo por todo o corpo. Ilustração. Contorno de um corpo com destaque de sistema digestivo que se inicia na boca com destaque do estômago e intestino. Ilustração. Contorno de um corpo com destaque de sistema urinário que se inicia nos rins com destaque até a bexiga.  Fim da imagem.

LEGENDA: Representação esquemática dos sistemas circulatório, urinário e digestório.(Imagens sem escala; cores fantasia.) FIM DA LEGENDA.

Fonte: TORTORA, G. J.; GRABOWSKI, S. R. Corpo humano: fundamentos de Anatomia e Fisiologia. 6ª ed. Porto Alegre: Artmed, 2004.

127

DESAFIO À VISTA!

Capítulos 13 e 14

Neste capítulo, você vai explicar as características dos sistemas que promovem o controle do funcionamento do organismo humano.

Como ocorre o controle das funções do nosso corpo?

CAPÍTULO 13. Coordenação do organismo

O sistema nervoso tem papel fundamental na coordenação do organismo.

  1. Realize as atividades a seguir e reflita sobre elas.

    Imagem: Ícone: Atividade oral. Fim da imagem.

    1. Diga em voz alta em que cor está escrita cada uma das palavras abaixo.

      AMARELO - AZUL - LARANJA - PRETO - VERMELHO - VERDE - ROXO

Imagem: Ícone: Atividade oral. Fim da imagem.

  1. Foi fácil, não foi? Agora, tente novamente com este outro grupo de palavras. Você deve dizer a cor em que a palavra está escrita, e não o que está escrito.

    AMARELO - AZUL - LARANJA

    PRETO - VERMELHO - VERDE

    ROXO - AMARELO - VERMELHO

    LARANJA - VERDE - PRETO

    AZUL - VERMELHO - ROXO

    VERDE - AZUL - LARANJA

Imagem: Ícone: Atividade oral. Fim da imagem.

  1. Você conseguiu acertar rapidamente todas as palavras? Se não respondeu rapidamente, qual foi o motivo?

128

Quem coordena o corpo?

O sistema nervoso é responsável por coordenar a maior parte das funções que acontecem em nosso organismo. Ele recebe as informações do ambiente e as informações geradas no próprio corpo. Com isso, interpreta essas informações e produz uma resposta adequada.

Ao realizar a atividade da página anterior, confundimos nosso sistema nervoso. Por isso, demoramos mais para dar as respostas. Com algum treino, conseguimos ser mais ágeis. Quer tentar novamente?

Imagem: Ícone: Atividade oral. Fim da imagem.

  1. Você conhece outras atividades que, com treino, podem ser realizadas mais rapidamente? Se sim, compartilhe com os colegas.

    O sistema nervoso humano é organizado em sistema nervoso central e sistema nervoso periférico.

    Sistema nervoso central

    O sistema nervoso central é formado pelo encéfalo e pela medula espinal. O cérebro ocupa a maior parte do encéfalo. A medula espinal é uma estrutura alongada que fica protegida dentro das vértebras.

Imagem: Ilustração. Contorno de um corpo com destaque de cérebro e encéfalo com ligação da medula espinal por todo o tronco com nervos pelo corpo todo. Fim da imagem.

LEGENDA: Representação esquemática do sistema nervoso. (Imagem sem escala; cores fantasia.) FIM DA LEGENDA.

Sistema nervoso periférico

O sistema nervoso periférico inclui os nervos e outras estruturas formadas pelos tecidos nervosos que não fazem parte do sistema nervoso central. Os nervos fazem a comunicação entre o sistema nervoso central e os demais órgãos do corpo humano.

Imagem: Ilustração. Célula com núcleo liberando pequenos tentáculos e um tentáculo maior com variações na ponta. Fim da imagem.

LEGENDA: Representação esquemática da célula que forma o sistema nervoso, o neurônio. (Imagem sem escala; cores fantasia.) FIM DA LEGENDA.

Fonte das imagens: TORTORA, G. J.; GRABOWSKI, S. R. Corpo humano: fundamentos de Anatomia e Fisiologia. 6ª ed. Porto Alegre: Artmed, 2004.

  1. Pesquise e responda: qual é a reação do sistema nervoso quando estamos em uma situação de perigo?

129

O sistema nervoso periférico também envia informações de órgãos, como estômago e pulmões, para o sistema nervoso central.

O sistema nervoso central faz a integração entre as informações recebidas do ambiente e do próprio corpo e elabora uma resposta de acordo com essas informações.

As respostas são enviadas aos diferentes órgãos pelo sistema nervoso periférico. Elas podem corresponder ao movimento de um membro, a um pensamento ou ao aumento da atividade de um órgão, por exemplo.

As respostas que são controladas de forma consciente são chamadas voluntárias. É o caso de levantar ou abaixar o braço, buscar um alimento e mastigar.

As respostas que não são controladas de forma consciente são chamadas involuntárias, como os movimentos do coração, do estômago e a sensação de fome.

Dessa forma, o sistema nervoso coordena o funcionamento dos demais sistemas do corpo.

Imagem: Fotografia. Menino de cabelo curto preto, vestindo camiseta verde e bermuda azul. Está de braços entrelaçados com mulher idosa de cabelo longo preto, vestindo camiseta azul e calça cinza. Fim da imagem.

LEGENDA: Ao atravessar a rua, é preciso observar se não há carros passando e ouvir os sons do trânsito. Essas informações são captadas pelos órgãos dos sentidos e enviadas ao cérebro, que elabora e manda uma resposta aos músculos das pernas, movimentando nosso corpo para atravessar a rua. FIM DA LEGENDA.

Boxe complementar:

Quero saber!

Reflexo do goleiro?

Na verdade, o movimento do goleiro não é um reflexo. Reflexo é um ato involuntário e rápido, como aquele que acontece quando os médicos batem com um martelinho no joelho do paciente.

Retirar rapidamente a mão que está em contato com uma panela quente é outro exemplo de reflexo.

Como o goleiro está vendo a jogada e tentando pegar a bola, trata-se de uma ação voluntária, não um reflexo. O que acontece é que o tempo de reação, isto é, o tempo que o sistema nervoso leva entre perceber a bola em movimento, elaborar uma resposta e enviar o comando para saltar, é muito rápido.

Imagem: Ilustração. Mulher de cabelo longo castanho cacheado, vestindo camiseta branca e jaleco branco. Está usando uma ferramenta de martelo no joelho de um menino de cabelo curto loiro e touca vermelha, vestindo camiseta verde com listras vermelhas e bermuda roxa, sentado em um banco alto. Ilustração. Homem calvo, vestindo camiseta azul e luva verde, segurando uma bola de futebol. À frente há um menino de cabelo curto loiro e fone de ouvindo com microfone, vestindo camiseta laranja, está falando “sensacional! Foi uma defesa de puro reflexo!”.  Fim da imagem.

LEGENDA: O reflexo acontece de forma involuntária; quando o goleiro pega a bola, trata-se de um movimento voluntário. FIM DA LEGENDA.

Fim do complemento.

130

Atividade prática

Tempo de reação

Imagem: Ícone: Atividade em dupla. Fim da imagem.

O que você acha de realizar uma atividade para testar seu tempo de reação? Organizem-se em duplas para realizar o teste a seguir.

Do que vocês vão precisar

  1. O colega vai posicionar a régua na vertical, com o zero voltado para baixo, bem próximo de sua mão aberta, como aparece na imagem abaixo.
  1. Olhe para o zero da régua. O colega vai soltar a régua sem avisá-lo e você deverá segurá-la o mais rápido que conseguir. Observe a marcação da régua no local em que você conseguiu segurá-la. Quanto mais rápida for sua reação, menor será o número na marcação da régua.
  1. Repita o procedimento três vezes e registre os resultados.
  1. Depois, troquem as posições para que seu colega também teste o tempo de reação dele.
  1. Agora, vocês vão repetir o teste. A diferença é que seu colega vai avisar o momento em que soltará a régua. Tente segurá-la novamente e registre o resultado a cada tentativa.
  1. Depois, invertam as posições.
Imagem: Fotografia. Menino de cabelo curto preto cacheado, vestindo camiseta rosa e calça azul. Está segurando uma régua junto com um menino de cabelo curto preto, vestindo camiseta amarela e calça preta.  Fotografia. Menino de cabelo curto preto cacheado, vestindo camiseta rosa e calça azul. Está segurando uma régua sobre o tronco de um menino de cabelo curto preto, vestindo camiseta amarela e calça preta.   Fim da imagem.

LEGENDA: Demonstração da dinâmica da atividade. FIM DA LEGENDA.

  1. Registre os resultados do teste.
  1. Em que situação você segurou a régua mais rápido? Por quê?

131

CAPÍTULO 14. O tempo passa, o corpo muda

Imagem: Ícone: Atividade oral. Fim da imagem.
  1. Leia o texto e responda.

    Adrenalina nas alturas

    O percurso dura menos do que um minuto, mas a carga de emoção e de adrenalina é intensa, fazendo muita gente literalmente perder o fôlego. De um lado, pessoas que as amam, que viajam o mundo atrás das mais radicais; e, de outro, os que correm delas por um único motivo: medo. Mesmo dividindo opiniões, a montanha-russa é, sem dúvida, um dos grandes atrativos dos parques de diversão [...].

    ADRENALINA nas alturas: conheça a física por trás das montanhas-russas. Globo Ciência , 7 set. 2013. Disponível em: http://fdnc.io/fa6. Acesso em: 29 mar. 2021.

    1. Você já sentiu alguma emoção intensa como é comentado no texto? Se sim, em qual situação?
    1. Você já tinha ouvido falar na palavra “adrenalina”? Se sim, em que situação você ouviu essa palavra ser utilizada?

      No momento em que percebemos que o carrinho vai descer a montanha-russa, é lançada no sangue uma substância chamada adrenalina. Essa substância faz, entre outras coisas, o coração bater mais rápido, aumentando a circulação do sangue pelos músculos, de modo que eles recebam mais energia.

      A adrenalina e outras substâncias que controlam o corpo ao regular o funcionamento dos órgãos são chamadas hormônios. Eles são produzidos por algumas glândulas do corpo.

      Os hormônios nem sempre agem no local em que são produzidos. Eles são transportados pelo corpo por meio do sangue e produzem efeitos em órgãos específicos. Um hormônio produzido por uma glândula localizada no encéfalo, por exemplo, pode circular pelos vasos sanguíneos e agir no estômago.

Imagem: Fotografia. Montanha russa formando espirais em uma descida com pessoas em carrinhos em movimento. Fim da imagem.

132

Veja, no esquema a seguir, a localização de algumas glândulas do corpo humano.

Imagem: Ilustração. Contorno do corpo de um menino e uma menina em paralelo. Ambos indicam no cérebro a hipófise, na garganta a tiroide, na barriga pâncreas e suprarrenais. Diferenciando apenas por menino com testículos e meninas com ovários. Fim da imagem.

LEGENDA: Representação esquemática das glândulas nos corpo de um menino e de uma menina. (Imagens sem escala; cores fantasia.) FIM DA LEGENDA.

Fonte: TORTORA, G. J.; GRABOWSKI, S. R. Corpo humano: fundamentos de Anatomia e Fisiologia. 6ª ed. Porto Alegre: Artmed, 2004.

A glândula hipófise produz hormônios que controlam as demais glândulas do corpo.

A glândula tireoide produz hormônios que regulam o crescimento e o desenvolvimento do corpo.

As suprarrenais produzem hormônios, como a adrenalina, que preparam o corpo para as situações de perigo.

O pâncreas controla a quantidade de açúcar no sangue por meio de hormônios como a insulina.

Os ovários produzem os hormônios sexuais das mulheres, e os testículos, os hormônios sexuais dos homens.

  1. Pesquise e responda.
    1. Quais são as três ações principais do corpo em uma situação de perigo?
    1. Identifique três reações que ocorrem no corpo humano quando a adrenalina é liberada no sangue.

133

Puberdade

Quando os ovários e os testículos iniciam a produção de hormônios sexuais, desencadeia-se uma série de mudanças físicas em meninas e em meninos. Essa fase é chamada de puberdade e marca o período da adolescência.

Os testículos produzem o hormônio sexual testosterona. Os ovários produzem dois hormônios sexuais principais: estrogênio e progesterona.

Quando esses hormônios começam a ser produzidos em grande quantidade, o corpo da criança passa por mudanças até assumir a forma adulta.

  1. Leia o texto e responda.

    Hormônio de crescimento

    O nome dele não tem nada de complicado. É simplesmente chamado de hormônio de crescimento. No entanto, é muito especial. Produzido pela hipófise, viaja pelo sangue até encontrar seu receptor no fígado. Lá, estimula a produção dos fatores de crescimento, que dão ao osso o comando para multiplicar as células. Assim, o osso se alonga e a criança cresce. Os bebês se esticam com a maior velocidade. Podem aumentar a estatura em mais de 30 centímetros nos dois primeiros anos. No início da vida, o crescimento depende bastante dos hormônios da tireoide. Com a chegada da puberdade, entram em cena os hormônios sexuais e acontece um outro estirão – entre os 12 e os 15 anos de idade, a esticada pode chegar a 10 centímetros em um único ano. Mesmo depois de você parar de crescer, o hormônio de crescimento continua sendo produzido, para a manutenção dos órgãos, controlando a reposição de células.

Glossário:

Receptor : célula ou grupo de células capaz de se combinar com os hormônios.

Estirão : crescimento rápido em curto período de tempo.

Fim do glossário.

Xavier Bartaburu. Desenvolvimento: como você cresceu! Revista Superinteressante , 31 out. 2016. Disponível em: http://fdnc.io/fa7. Acesso em: 29 mar. 2021.

  1. No texto, são citadas três substâncias que controlam o corpo, regulando o funcionamento dos órgãos. Copie-as em seu caderno.
  1. De acordo com o texto, qual é a função dessas substâncias no crescimento?
  1. De que o organismo precisa para garantir o crescimento e a reposição de células? Relembre o que foi estudado nesta unidade e escreva alguns argumentos que justifiquem sua resposta.

134

A adolescência

A adolescência é uma fase caracterizada por muitas transformações. O corpo de meninos e de meninas passa por modificações. Também ocorrem grandes mudanças no comportamento.

Nem todos passam por essas mudanças da mesma maneira ou na mesma idade. Uma alimentação equilibrada é essencial para que o crescimento e o desenvolvimento do organismo ocorram de forma saudável.

Imagem: Fotografia 1. Menina de cabelo liso castanho, vestindo camiseta roxa. Ela diz “meu corpo começou a ficar diferente quando eu tinha 10 anos. Mas tenha amigas com 12 anos que ainda não passaram pelas mesmas mudanças”. 
Fotografia 2. Menino de cabelo curto preto, óculos de armação quadrada, vestindo camiseta azul. Ele diz “Eu tenho 16 anos e só agora apareceram uns pelinhos no meu rosto. Tenho amigos que com 14 anos já faziam a barba”. 
 Fim da imagem.

Respeitar as diferenças

As pessoas não são iguais umas às outras e isso é muito importante. Se todas fossem exatamente do mesmo jeito e tivessem a mesma opinião, o mundo não seria tão rico em ideias e realizações.

As características de uma pessoa não são, necessariamente, melhores nem piores que as de outras. Algumas pessoas são mais parecidas entre si, e outras são diferentes. Todos devem ser respeitados, independente de suas características físicas, seus gostos pessoais e suas opiniões.

Observação: Você já estudou, no ano, sobre a importância de reconhecer a diversidade entre as pessoas. Relembre-as e converse com os seus colegas. Fim da observação.

  1. Em uma folha avulsa, escreva uma breve descrição sobre você, informando o que gosta de fazer, suas brincadeiras e comidas preferidas, suas opiniões sobre alguns assuntos e outras coisas mais. Mas não registre seu nome!
    • O professor vai recolher as folhas e ler as descrições para a turma. Vocês deverão adivinhar a quem cada descrição se refere.

Boxe complementar:

Fique por dentro

Danico pé de vento

Isabel Vieira. São Paulo: Moderna, 2019.

Nesse livro, há uma reflexão sobre a diferença de crescimento entre crianças.

Fim do complemento.

135

  1. As imagens a seguir apresentam autorretratos de artistas.
    • Com ajuda de um espelho, faça um autorretrato.
Imagem: Ilustração. Mulher de cabelo curto preso preto com chapéu vermelho e véu branco, vestindo camiseta branca e broche rosa.  Fim da imagem.

LEGENDA: Autorretrato, de Paula Modersohn Becker, 1906. Óleo sobre tela, 67,5 cm x 57,5 cm. FIM DA LEGENDA.

Imagem: Ilustração. Homem de cabelo curto ruivo e barba espessa ruiva, vestindo camisa branca e casaco azul. Está segurando uma paleta com tintas. Fim da imagem.

LEGENDA: Autorretrato, de Vincent Van Gogh, 1889. Óleo sobre tela, 57,7 cm x 44,5 cm. FIM DA LEGENDA.

As mudanças que acontecem no comportamento e no corpo dos adolescentes também ocorreram com os adultos com quem você convive.

  1. Converse com um de seus responsáveis e conte a ele o assunto que você está estudando no momento. Mostre-lhe seu livro e pergunte a ele se aceita responder às perguntas a seguir.
    1. Quando você tinha minha idade, aprendeu na escola sobre as mudanças pelas quais os adolescentes passam? Comente.
    1. Com quem você conversava sobre esse assunto?
    1. Você acha que os adolescentes de antigamente se comportavam de maneira parecida aos adolescentes dos dias atuais? Por quê?
    1. Qual é sua opinião sobre o respeito às diferenças? Conte-me alguma situação relacionada a esse assunto.

      Imagem: Ícone: Atividade oral. Fim da imagem.

      • Compartilhe com os colegas e o professor os resultados de sua entrevista.

Boxe complementar:

Fique por dentro

Extraordinário

Stephen Chbosky (EUA, 2017). Duração: 113 minutos.

Esse filme narra a história de Auggie, um menino de 10 anos que nasceu com uma deformidade facial e precisa lidar com o bullying quando começa a frequentar a escola.

Fim do complemento.

136

LIGANDO OS PONTOS

Capítulos 13 e 14

  1. Observe a imagem e responda.
    1. Qual sistema controla a vontade de urinar? Como ocorre esse processo?
    1. O controle da eliminação da urina é uma resposta voluntária ou involuntária do sistema nervoso? Por quê?
    1. Podemos controlar a vontade de urinar por tempo indeterminado? Explique.

      Imagem: Ícone: Atividade oral. Fim da imagem.

    1. Você acha que todas as crianças deixam de usar fraldas com a mesma idade? Converse com os colegas e o professor sobre isso.
      • A que conclusão vocês chegaram?
Imagem: Fotografia. Menino bebe com cabelo curto castanho, sem roupa, apenas com fralda, sorrindo. Fim da imagem.
  1. Você já estudou que os sistemas funcionam de forma integrada. Observe a imagem e responda.
Imagem: Fotografia. Menina de cabelo longo preso loiro, vestindo uniforme de basquete azul. Está jogando uma bola de basquete laranja. Fim da imagem.
  1. Como a jogadora percebeu o movimento da bola e movimentou o braço para continuar batendo a bola no chão?
  1. Como o corpo da jogadora obteve energia para realizar essa atividade? Que sistemas estão envolvidos nesse processo?
  1. De que maneira os hormônios participam do crescimento e do desenvolvimento do corpo? Qual é a importância de uma alimentação equilibrada nesse processo?

137

Ciências em contexto

  1. Leia o texto e responda.

    O que são dores de crescimento nas crianças?

    As dores de crescimento são dores que normalmente se manifestam nas pernas (coxas, panturrilhas ou atrás dos joelhos) de crianças durante a noite. A dor pode surgir em todo o período de crescimento, até os 18 anos de idade, mas é mais comum nas crianças em idade escolar, principalmente na faixa entre 5 e 10 anos. Elas não têm uma causa conhecida pelos médicos e, apesar do nome, não têm relação com o crescimento em si. [...]

    Segundo o dr. Felipe Lora, [...] a dor é benigna e autolimitada, ou seja, vai passar em todos os casos sem a necessidade de tratamentos específicos.

    Algumas crianças a sentem uma vez na vida e outras, uma vez por mês durante alguns meses, mas não há motivos para grandes preocupações. [...]

    As dores não causam nenhum tipo de deformidade nem restrição de movimentos, de modo que no dia seguinte ao episódio a criança deve estar bem e caminhando normalmente. “Não tem muito o que fazer, é só esperar passar. O mais importante é passar no pediatra. Se passou, ele examinou bem o paciente e descartou condições mais graves, já é o suficiente”, afirma o dr. Felipe.

    Maiara Ribeiro. O que são as dores do crescimento nas crianças? Portal Drauzio Varella . Disponível em: http://fdnc.io/fa9. Acesso em: 29 mar. 2021.

Imagem: Ilustração. Menino de cabelo curto cacheado ruivo, vestindo camiseta verde e marrom, e shorts azul. Está segurando o joelho com pequenos raios destacando o local. Fim da imagem.
  1. Explique o que o texto quer dizer com “dor benigna e autolimitada”.

    Imagem: Ícone: Atividade oral. Fim da imagem.

  1. Você já sentiu as dores citadas no texto? Converse com os colegas e o professor sobre isso.

138

Imagem: Ícone: Atividade em grupo. Fim da imagem.

  1. Com a ajuda do professor, uma turma de 5º ano fez o levantamento da estatura dos estudantes.
    • De acordo com o que estudamos, você acha que todos os estudantes têm alturas semelhantes? Explique sua resposta.
Imagem: Ilustração. Cinco crianças segurando um cartaz longo com ilustração de um gráfico de barras. Menina de cabelo longo castanho, vestindo casaco azul e bermuda verde. Menino de cabelo curto castanho, com óculos de armação azul, vestindo camiseta verde e calça azul. Menino de cabelo curto ruivo, vestindo camiseta verde e calça azul. Menino de cabelo cacheado ruivo, vestindo camiseta verde e azul e calça azul. Menina de cabelo longo cacheado castanho, vestindo camiseta bege, colete laranja e bermuda azul. Fim da imagem.

VAMOS RETOMAR

  1. João almoçou macarrão com manteiga, enquanto no prato de sua colega, Maria, tinha arroz, feijão, carne, batatas e uma salada temperada com azeite. Considerando os nutrientes estudados, responda.
    1. Quem se alimentou de carboidratos? Como você chegou a essa conclusão?
    1. Quem deixou de comer um dos nutrientes? Qual nutriente?
    1. A manteiga e o azeite representam qual tipo de nutriente?
    1. João e Maria precisam ingerir a mesma quantidade de nutrientes? Como devem ser feitas as escolhas alimentares das pessoas?
  1. Os sistemas do organismo funcionam de forma integrada.
    1. Faça um esquema indicando o nome de cada sistema estudado nesta unidade, seus órgãos e suas principais funções.
    1. Explique como os sistemas digestório e circulatório interagem no processo de nutrição do organismo.

139

Mão na massa

Montando um modelo do corpo humano

Você aprendeu que os sistemas funcionam de forma integrada para que o corpo possa ter energia, crescer e se desenvolver.

Imagem: Ícone: Atividade em grupo. Fim da imagem.

Você e seus colegas vão fazer um único modelo representando a disposição de alguns sistemas no corpo. Organizem-se em cinco grupos; cada grupo vai representar um dos seguintes sistemas estudados:

Imagem: Ilustração. Mesa vista de cima com mulher observando duas crianças desenhando um sistema respiratório em um corpo. Mulher de cabelo longo castanho e faixa laranja, vestindo casaco branco e camiseta branca com listras vermelhas. Menina de cabelo longo castanho, vestindo casaco e calça azul. Menino de cabelo curto loiro, vestindo camiseta laranja, sentado em uma cadeira de rodas azul. Fim da imagem.

Do que vocês vão precisar

  1. Desenhem o contorno de parte do corpo humano na folha de papel pardo. Prendam o contorno na mesa como representado na imagem.
  1. Observem as imagens de cada sistema representado nesta unidade ou pesquisem outras imagens na internet. Utilizem os diversos materiais disponíveis (massa de modelar, papéis, tecidos etc.) para representar os órgãos do sistema pelo qual seu grupo ficou encarregado.

    Observação: ATENÇÃO: Tenha cuidado ao manusear a tesoura e sempre a utilize com a supervisão de um adulto. Fim da observação.

  1. Depois de prontos, prendam os órgãos que compõem o sistema nos locais adequados do contorno do corpo humano.
  1. Todos os sistemas devem ser organizados no mesmo contorno do corpo, encontrando a melhor disposição no espaço.
  1. Depois que todos os grupos tiverem colocado seu sistema, vocês terão um modelo de corpo humano quase completo.
  1. Vocês podem deixar o modelo exposto na sala de aula e convidar outras turmas ou os familiares para conhecê-lo.