12

UNIDADE 1. A vida que não vemos

Imagem: Ilustração. De frente para pias de cor azul-claro com torneiras de cor cinza, com mãos de crianças lavando a mão e à frente, espelhos por onde vê-se azulejos de cor azul e as crianças. Da esquerda para à direita : criança de pele morena, cabelos pretos com presilhas em verde, amarelo e lilás, olhos fechados, boca aberta para frente, com sabonete lilás nas mãos. À direita, menino loiro de olhos azuis, com camiseta de cor branca, detalhes em vermelho, cabeça para baixo, ensaboando as mãos. Mais à direita, menina e menino de camiseta branca com detalhes em vermelha. A menina tem pele clara, cabelos pretos curtos para à direita, com a boca aberta onde vê-se aparelho dentário, mãos debaixo da água de torneira cinza. Mais à direita, um menino de pele clara, cabelos castanhos para à direita, olhando para ele com a boca aberta. Ele ensaboa as mãos com bolhas brancas. Fim da imagem.

Lava uma mão, lava outra

Uma

Lava outra, lava uma

Lava outra, lava uma mão

Lava outra mão, lava uma mão

Lava outra mão

Lava uma

Depois de brincar no chão de areia a tarde inteira

Antes de comer, beber, lamber, pegar na mamadeira

Lava uma (mão), lava outra (mão)

Lava uma, lava outra (mão)

Lava uma

A doença vai embora junto com a sujeira

Verme, bactéria, mando

embora embaixo da torneira

Água uma, água outra

Água uma (mão), água outra

Água uma

[…]

LEGENDA: Arnaldo Antunes. Lavar as mãos (Mão), do álbum Castelo Rá-Tim-Bum. São Paulo: Velas, 1995. FIM DA LEGENDA.

13

Boxe complementar:

Vamos conversar

  1. O que as crianças mostradas na imagem estão fazendo?
  1. Identifique na canção versos que falam sobre:

    • Quando devemos lavar as mãos.

    • O que acontece quando lavamos as mãos.

  1. Lavar as mãos é importante? Por quê?
  1. Há seres vivos na sujeira das mãos? É possível enxergá-los?

Fim do complemento.

14

Investigar o assunto

Imagem: Ícone referente à seção Investigar o assunto, composto pela ilustração de uma lupa. Fim da imagem.

O menor de todos

Há uma diversidade muito grande de seres vivos. Você já parou para se perguntar qual é o menor de todos eles? Será que é possível vê-lo?

Imagem: Ilustração. Uma menina vista da cintura para cima, de pele negra, cabelos pretos encaracolados, com faixa vermelha na cabeça, camiseta amarela com detalhes em verde. Ela está com a mão esquerda no queixo, olhos para à direita, com uma lupa arredondada na mão direita. Perto da cabeça, nuvens de pensamentos com os seguintes animais : uma formiga de cor preta grande, um besouro de cor azul-claro, uma minhoca fina em vermelho e animal menor arredondado em verde. Uma mosca com par de asas brancas, inseto de cor marrom arredondado, uma barata pequena de cor marrom, animal de cor laranja parecido com minhoca e inseto arredondado em cinza-escuro.  Fim da imagem.

LEGENDA: Os elementos da imagem não estão na mesma proporção. Cores fantasia. FIM DA LEGENDA.

O que você vai fazer

Investigar o que as pessoas sabem sobre os menores seres vivos que habitam o planeta.

Como você vai fazer

  1. Pergunte a colegas, parentes, vizinhos e conhecidos se eles sabem quais são os menores seres vivos do planeta. Escolha de duas a três pessoas para realizar uma breve entrevista.
Imagem: Ilustração. Uma folha de cor branca com pautas em azul e linha fina à esquerda, na vertical em vermelho. Texto em letras cursivas em azul :  Nome do entrevistado: 1.	Em sua opinião, qual o menor ser vivo que existe? 2.	Em que local ele vivia? 3.	Qual a sua forma? 4.	Qual o tamanho desse ser vivo? 5.	Do que ele se alimenta?  Fim da imagem.
  1. Leia o questionário acima e copie as perguntas em seu caderno. Você pode acrescentar perguntas, caso tenha curiosidade de saber algo mais sobre esses seres vivos. Pergunte também como são esses seres vivos.
  1. Organize e copie as perguntas em um bloco de anotações. Você vai levá-lo para registrar as respostas no dia das entrevistas.

15

  1. Na sala de aula, o professor vai montar um quadro como o do modelo abaixo. Ele será usado para organizar os dados obtidos por toda a turma.

Tabela: equivalente textual a seguir.

Nome do ser vivo

Nº de pessoas

Total

1. Formiga

I I I

3

2. Pulga

I I

2

3. Ácaro

I

1

4. Bolor

I I I

3

Imagem: Ilustração. Mãos de uma pessoa de pele clara, com lápis de cor verde na mão direita, sobre folha rosa com tabela dentro. À esquerda, uma borracha branca com base em vermelho e caneta em azul-claro.  Fim da imagem.
  1. Cada estudante vai dizer o que descobriu em suas pesquisas.
  1. Observe os resultados e discuta-os com os colegas.

    Para você responder

  1. Qual ser vivo foi mencionado o maior número de vezes em todas as entrevistas?
  1. As respostas das pessoas foram semelhantes ou muito diferentes?
  1. Quais seres vivos citados na entrevista você já viu?
  1. Quais seres vivos citados você conseguiria ver a olho nu?

    Imagem: Ícone: Atividade oral. Fim da imagem.

  1. Em sua opinião, qual o menor ser vivo do planeta? Descreva-o para seus colegas.

    Imagem: Ícone: Atividade oral. Fim da imagem.

  1. Por que você acha que é difícil as pessoas conhecerem os menores seres vivos do planeta?

16

Capítulo 1. A invenção do microscópio

De todos os instrumentos utilizados por pesquisadores, o microscópio é um dos que mais trouxeram avanços ao modo como conhecemos o mundo.

Os microscópios são utilizados, por exemplo, em salas de aula, na indústria e em pesquisas. Eles ampliam a imagem de seres vivos, materiais e objetos, permitindo ver detalhes que seriam invisíveis a olho nu.

A construção de microscópios

O item fundamental para a construção de um microscópio óptico é a lente. Você já deve ter visto lentes em muitos objetos, como óculos e lupas.

As lentes são objetos feitos de materiais transparentes, que ampliam ou distorcem imagens de um corpo quando olhamos através delas.

Imagem: Fotografia. À frente, uma lente redonda com o contorno redondo preto, por onde vê-se uma folha de cor amarela. Mais ao fundo, árvore com folhas verdes e outras mais amareladas e parte do céu em azul-claro.  Fim da imagem.

LEGENDA: A lente da lupa produz uma imagem ampliada dos objetos. FIM DA LEGENDA.

Imagem: Ícone: Atividade oral. Fim da imagem.
  1. É correto dizer que as lentes aumentam os objetos? Justifique.

    O ser humano conhece o funcionamento das lentes há mais de 2 mil anos, mas somente a partir de 1660, usando lentes de melhor qualidade e combinando as lentes de aumento, foi possível obter ampliações ainda maiores. Com base nesse conhecimento, foram criados os primeiros microscópios ópticos.

Boxe complementar:

Hora de acessar

  • Micróbios da floresta. Canal Butantan. Disponível em: http://fdnc.io/etP. Acesso em: 27 jan. 2021.

    O vídeo mostra como o planeta Terra está repleto de seres pequenos: alguns deles nós enxergamos quando nos aproximamos; outros, quando usamos lupas. E há milhares de seres muito pequenos, que só enxergamos com a ajuda de aparelhos como os microscópios.

Fim do complemento.

17

ÁLBUM de Ciências

Microscópio óptico

O microscópio óptico é utilizado para ampliar imagens e observar estruturas muito pequenas que, geralmente, não podem ser visualizadas sem ele. Esse instrumento utiliza luz visível e um sistema de lentes para ampliar as imagens.

Observe abaixo as partes que o constituem.

Imagem: Fotografia. Um microscópio de cor branca, com detalhes em preto. Na parte superior, tubo em médio de cor preta. Na ponta :  Texto : Lente ocular É preciso aproximar o olho dessa lente para observar o material. Mais abaixo, na parte tubular :  Texto: Tubo Serve de suporte para a lente ocular. Mais abaixo, três partes tubulares em preto com lentes na parte inferior :  Texto: Lentes objetivas Essas lentes ficam próximas do material e podem ter diferentes ampliações. Mais abaixo, base retangular transparente :  Texto : Lâmina de vidro Peça retangular e transparente que serve de suporte para a amostra que será analisada. Debaixo da lâmina, parte grossa em preto com o formato quadrado :  Texto : Platina ou mesa Suporte onde é colocada a lâmina de vidro com o material que vai ser observado. Mais abaixo, na haste na vertical, um botão grande preto :  Texto : Platina ou mesa Suporte onde é colocada a lâmina de vidro com o material que vai ser observado. Na ponta inferior, botão arredondado em preto na vertical : Texto : Fonte de luz Direciona a luz para que ela passe através do material que vai ser observado. Nos modelos mais simples, pode ser um espelho, que reflete e direciona a luz.   Fim da imagem.

LEGENDA: Modelo simples de microscópio óptico. FIM DA LEGENDA.

18

A descoberta do mundo microscópico

Antes da invenção dos microscópios, as pessoas propunham diversas hipóteses a respeito da composição dos seres vivos, tentavam entender o que provocavam certas doenças e como elas se desenvolviam, mas não tinham meios para investigar essas questões. Com os microscópios, os pesquisadores começaram a observar outras formas de vida, muito pequenas, além de detalhes da composição do corpo dos seres vivos, de objetos e de materiais.

O pesquisador inglês Robert Hooke fabricou microscópios ópticos e fez várias descobertas acerca dos microrganismos. Ele construiu microscópios com duas e com três lentes na tentativa de aperfeiçoar esse instrumento.

Imagem: Fotografia. Um microscópio antigo. À esquerda, uma forma tubular na diagonal em marrom-escuro, com ponta superior arredondado com : lente ocular. Na parte inferior, tubo fino na vertical de cor cinza : lente objetiva. Parte sobre base arredondada em marrom-escuro. Ao centro, haste fina na vertical de cor prata e à direita, globo transparente : globo de vidro e à direita, outra bola mais fina transparente e perto, haste na horizontal : lamparina. Na parte inferior, base na vertical de cor marrom e ponta de baixo arredondada na horizontal.  Fim da imagem.

LEGENDA: Microscópio de duas lentes desenvolvido por Robert Hooke no século XVII. A lente ocular fica no topo do microscópio e há uma lente objetiva, abaixo, perto da amostra a ser analisada. O sistema de iluminação utilizava um globo de vidro cheio de líquido para projetar a luz da chama de uma lamparina na amostra. FIM DA LEGENDA.

Imagem: Ícone: Atividade oral. Fim da imagem.

  1. Hooke se destacou pela forma cuidadosa como descrevia e desenhava os seres vivos, além do seu esforço em compreender a função de cada parte desses pequenos seres.
    • O desenvolvimento do microscópio foi importante para o estudo da vida? Por quê?
Imagem: Gravura em preto e branco. Uma pulga na horizontal, para à direita, com o corpo arredondado, coberto com camadas e à direita, cabeça pequena com casca e patas na parte inferior. Na parte inferior, patas finas longas e à frente, duas menores.  Fim da imagem.

LEGENDA: Gravura de uma pulga vista ao microscópio de lentes ópticas, feita por Robert Hooke, em 1665. FIM DA LEGENDA.

19

Imagem: Pintura. Um homem visto da cintura para cima : de pele clara, cabelos encaracolados em branco até os ombros, usando blusa de cor bege e contorno em branco, com blusa de mangas compridas em vermelho. Ele está de frente para mesa com utensílios diversos, mão direita levantada para o alto, com um pequeno objeto perto do olho direito. De frente para ele, um castiçal dourado com uma vela branca com chama amarela acesa. Ao fundo, local com parede de cor cinza, com janela à esquerda e quadro antigo à direita.  Fim da imagem.

LEGENDA: Representação de Leeuwenhoek fazendo observações em seu microscópio. Note que ele direciona o microscópio para a fonte de luz. FIM DA LEGENDA.

Imagem: Fotografia. Um microscópio de cor marrom na vertical a diagonal, para à direita, com base na horizontal. Sobre ela, parte fina na vertical com ponta fina :  Texto: agulha para colocar a amostra.  Perto, forma de um círculo pequeno : texto: lente.  Mais ao fundo, dois parafusos, um com haste na vertical e outro menor na ponta inferior. Texto : parafusos para regular a altura do foco.   Fim da imagem.

LEGENDA: Microscópio de Leeuwenhoek desenvolvido no século XVII. FIM DA LEGENDA.

Um cientista holandês chamado Antonie van Leeuwenhoek também construiu seus próprios microscópios e descobriu muitos seres minúsculos diferentes. Ele os chamou de animálculos, o que significa “animais muito pequenos”.

Desde então, esses equipamentos foram cada vez mais aperfeiçoados. Atualmente, existem diferentes tipos de microscópio que permitem visualizar muitos detalhes dos seres vivos. Os microscópios eletrônicos, como o que produziu a imagem abaixo, estão entre os mais potentes.

Enquanto os microscópios ópticos produzem imagens com ampliações de até 400 vezes o tamanho original, os microscópios eletrônicos produzem imagens com ampliações de até 2 milhões de vezes.

Imagem: Fotografia. Uma mosca de cor branca, com olhos grandes em laranja, com par de asas em branco com linhas de cor marrom, olhos grandes laranjas. Na parte inferior, patas finas de cor marrom. Na parte superior, zoom da cabeça da mosca : de cor marrom-escuro, com dois olhos gigantes em vermelho, com fios pequenos sobre cabeça e olhos. Na parte inferior, parte da abertura da boca, com duas hastes finas ne vertical.  Fim da imagem.

Comprimento: 1 cm.

LEGENDA: A imagem acima mostra uma mosca e detalhes da estrutura da cabeça e dos olhos com ampliação de 59 vezes, obtidos por um microscópio eletrônico. Imagem colorida artificialmente. FIM DA LEGENDA.

Imagem: Ícone: Atividade oral. Fim da imagem.

  1. Os microscópios se modificaram ao longo do tempo. Em sua opinião, qual o propósito dessas modificações?

20

Capítulo 2. As células

Ao observar um pedaço de cortiça ao microscópio óptico, Robert Hooke percebeu que ela era formada por inúmeras pequenas câmaras vazias, que ele chamou de células.

Ele observou também partes vivas de algumas plantas e verificou a presença das mesmas câmaras, só que, nesse caso, preenchidas por um material gelatinoso.

Outros pesquisadores perceberam o potencial do microscópio e passaram a utilizá-lo para observar partes de animais e plantas. Eles também viram que as células estavam presentes em todos os seres vivos examinados.

Depois de anos de muitas descobertas, os cientistas chegaram à conclusão de que todos os seres vivos são formados por células.

Imagem: Ilustração. Duas formas semelhantes a dois tecidos de cor bege-claro à esquerda e à direita, com partes pequenos de cor marrom. Ao fundo, parte de cor verde-escuro. Na parte inferior, ilustração de galho de planta de cor marrom com galhos pequenos, folhas pequenas e à direita, folhas maiores de cor verde, finas.  Fim da imagem.

LEGENDA: Reprodução de desenhos feitos por Robert Hooke em 1667. Acima, ilustração das células da cortiça; ao lado, ramo da planta. FIM DA LEGENDA.

Imagem: Ícone: Atividade oral. Fim da imagem.
  1. Observe a imagem que mostra um corte de folha observado por meio de um microscópio óptico moderno. Foram usados corantes para tingir o interior da folha.
Imagem: Fotografia. À frente, uma planta à esquerda, de folhas de cor verde pequenas. Mais ao fundo, outras plantas do mesmo tipo. À direita, zoom sobre planta, de fotografia microscópica : gomos na horizontal de cor verde e pequenas partes em branco.  Fim da imagem.

Comprimento: 60 cm.

LEGENDA: Planta aquática elodea. FIM DA LEGENDA.

LEGENDA: Corte de folha visto no microscópio óptico. Aumento de 400 vezes. FIM DA LEGENDA.

  1. Quais são as semelhanças entre a fotografia do corte de folha e a ilustração elaborada por Hooke que representa a cortiça?
  1. O que são essas “câmaras” que formam a folha?

21

Imagem: Fotografia. Um girassol com pétalas amarelas : flor, miolo marrom, com folhas verdes na parte inferior : folha e na vertical : caule verde. Abaixo, terra de cor marrom porosa, com raízes finas de cor bege : raiz. Texto : Comprimento: 50 cm. Fim da imagem.

Comprimento: 50 cm.

LEGENDA: O girassol é uma planta formada por muitas células, que se organizam em estruturas diferentes, como a flor, a folha, o caule e a raiz. FIM DA LEGENDA.

Os seres vivos são formados por células

Os seres vivos unicelulares, como as bactérias, são constituídos por uma única célula, que desempenha todas as funções do organismo. Os seres vivos pluricelulares são formados por mais de uma célula. Neles, cada conjunto de células pode ter funções específicas.

Tanto a célula de um ser unicelular quanto as células que formam os seres pluricelulares precisam de alimento. As células usam os alimentos como fonte de energia para suas atividades e como material para formar novas células. Elas também produzem e eliminam resíduos.

As células se originam de outra célula. Nos seres pluricelulares, quando elas se multiplicam, promovem o crescimento de estruturas ou substituem as células que morrem ao longo da vida.

  1. Leia o texto, observe a imagem de um ser unicelular e responda às questões no caderno.

Os seres unicelulares apresentam um ciclo de vida, ou seja, eles nascem, crescem, se desenvolvem, podem se reproduzir e, após algum tempo, morrem.

Imagem: Fotografia microscópica. Paramécio com o formato arredondado na horizontal com contorno de cor branca com preenchimento em azul dentro e partes finas de cor cinza. Ao redor do corpo, linhas finas de cor preta. À direita, outro paramécio do mesmo formato.  Fim da imagem.

LEGENDA: Paramécio em processo de divisão celular visto ao microscópio. Aumento de 139 vezes. FIM DA LEGENDA.

  1. Podemos dizer que um ser unicelular é um ser vivo?
  1. Qual característica de um ser vivo está representada na imagem?
  1. Observe a imagem a seguir, leia a legenda e responda à questão no caderno.
    • A célula mostrada na imagem pertence a um animal ou a uma planta?
Imagem: Fotografia microscópica. Gomos de cor verde, com partes com bolinhas pequenas em verde e nas bordas, em amarelo fino. Nas bolinhas verdes : cloroplasto.  Fim da imagem.

LEGENDA: Algumas células possuem cloroplastos, estruturas responsáveis pela produção de alimento na célula. Folha vista ao microscópio óptico. Aumento de 643 vezes. FIM DA LEGENDA.

22

Organização das células

As células que compõem um ser vivo pluricelular têm funções diferentes, como revestimento, digestão e secreção de substâncias. Geralmente, a forma das células está relacionada à sua função.

Imagem: Ilustração. Esquema. Na parte superior, camada fina de cor rosa-claro, com linhas finas na horizontal. Mais abaixo, gomos finos na horizontal : células mortas. Mais abaixo, gomos com pequenas bolinhas cor de rosa : células achatadas, muito próximas umas das outras. Na parte inferior, gomos de cor rosa com forma de cubo, e pequenas bolinhas em rosa e lilás dentro : células em forma de cubo.  Fim da imagem.

LEGENDA: Esquema representando a camada mais superficial da pele. A forma, a disposição e a quantidade de células nessa camada ajudam a proteger o corpo humano de microrganismos, toxinas e da perda de líquidos. Cores fantasia. FIM DA LEGENDA.

Em grande parte dos organismos pluricelulares, as células estão organizadas de acordo com sua função, formando diferentes estruturas que garantem o funcionamento do organismo como um todo.

  1. A imagem a seguir mostra um corte da raiz de uma planta de milho, vista ao microscópio óptico. Observe a imagem e responda às questões no caderno.
Imagem: Ilustração. À esquerda, raiz na vertical de cor verde com fios finos na parte inferior, uns pequenos e outros maiores. Da raiz, seta para à direita : raiz cortada com o formato arredondado. Ela tem contorno marrom, com parte de dentro porosa em branco e mais adentro em verde. Mais ao centro, forma circular de cor verde e dentro, pequenos círculos brancos em volta com contornos em marrom. Fim da imagem.

LEGENDA: Representação da raiz da planta de milho. FIM DA LEGENDA.

LEGENDA: Parte da raiz da planta do milho vista ao microscópio óptico. Aumento de 21 vezes. FIM DA LEGENDA.

  1. As células que formam a planta são todas iguais? Explique.
  1. Você acha que essas células têm as mesmas funções na planta? Por quê?

23

ÁLBUM de Ciências

Composição do organismo

As células podem apresentar diferentes formas, tamanhos e funções. Ao se agruparem, o conjunto de células que desempenha a mesma função forma um tecido.

Tecidos diferentes, com funções específicas, mas que atuam juntos, formam um órgão.

Os órgãos, funcionando de forma coordenada, compõem um sistema. Juntos, os sistemas formam um organismo.

Com a integração entre os sistemas, o organismo pode interagir com o meio externo, se alimentar, se reproduzir e realizar outras funções vitais .

Observação: Os elementos da imagem não estão representados na mesma proporção. Cores fantasia. Fim da observação.

Imagem: Esquema. Ao centro, um tuiuiú sobrevoando para à direita, de penas de cor bege, asas bem abertas, com patas finas na horizontal, gola do pescoço em vermelho, pescoço, cabeça e bico comprida em preto.  A – Células de músculo : Um tubo na horizontal com listras em vermelho e bege e ao centro gomo na horizontal em roxo. B- Tecido muscular : cinco tubos na horizontal com listras em vermelho e bege com gomo de cor roxa.  C- O coração é um órgão : forma de uma bexiga de cor vermelha na vertical, com tubos finos e ramificações na vertical.  D- O coração, junto com outros órgãos, forma um organismo. Dentro do corpo da ave, na região do peitoral.  Fim da imagem.

LEGENDA: Representação esquemática de células musculares, tecido muscular e coração do tuiuiú, que é um organismo. FIM DA LEGENDA.

Imagem: Ícone: Atividade para casa. Fim da imagem.

Com a ajuda de um adulto, pesquise um exemplo de célula, de tecido, de órgão e de sistema do corpo humano.

24

Capítulo 3. Os vírus e as bactérias

Por meio da invenção dos microscópios e do trabalho de vários pesquisadores que utilizam esse instrumento, descobriu-se a existência de uma grande diversidade de microrganismos, como bactérias, vírus, fungos e protozoários.

Os vírus

Os vírus são seres microscópicos, mas não são formados por célula e têm estrutura muito simples. Eles só conseguem viver e se reproduzir dentro de células de outros seres vivos. Por causa dessas características, não há consenso entre os cientistas se os vírus podem ser considerados seres vivos ou não.

Imagem: Fotografia. Mãos de uma pessoa com luvas de cor branca de frente para telescópio de cor branca, com parte inferior em cinza, com dois tubos. Na parte inferior, placa na horizontal, sobre base de cor preta na horizontal.  Fim da imagem.

LEGENDA: Pesquisador analisando amostra em um microscópio óptico. FIM DA LEGENDA.

Certos tipos de vírus vivem e se multiplicam no interior de outros seres vivos, como plantas e animais. Os fitovírus, por exemplo, são vírus que causam doenças em plantas. Muitos deles provocam a redução da produção e da qualidade de frutos, o desenvolvimento anormal da planta, além de afetar o processo pelo qual ela produz seu próprio alimento.

LEGENDA: Várias hortaliças são afetadas por vírus. A contaminação de lavouras pode prejudicar a produção de alimentos. FIM DA LEGENDA.

Imagem: Fotografia. Três flores de pétalas de cor amarela com manchas em vermelho. Ao fundo, vegetação de cor verde. Texto : Altura: 30 cm. Fim da imagem.

Altura: 30 cm.

LEGENDA: Os vírus também podem ser usados para obter resultados desejados. As tulipas geralmente têm apenas uma cor, mas as que apresentam duas cores são mais valorizadas no mercado. As tulipas com duas cores foram infectadas por um vírus que ataca algumas células, levando a surgir a segunda cor. FIM DA LEGENDA.

25

Nos seres humanos, a gripe, o sarampo, a dengue e a Covid-19 são alguns exemplos de viroses, isto é, doenças provocadas por vírus.

Grande parte dos vírus pode ser transmitida pelo ar, pela água, pelo contato com pessoas doentes ou com objetos contaminados, ou ainda por meio da picada de insetos.

Imagem: Fotografia microscópica. Uma forma redonda de cor azul, com partes em branco, com círculos vermelhos dentro. Ao redor do vírus redondo em azul, elementos com o formato um hexágono com hastes finas na vertical ficando na forma redonda.  Fim da imagem.

LEGENDA: Alguns vírus (em vermelho) atacando uma bactéria (em azul). Imagem obtida com microscópio eletrônico, colorizada artificialmente. Aumento de 40 mil vezes. FIM DA LEGENDA.

Imagem: Fotografia microscópica. Formas arredondadas de cor azul-claro com partes em vermelho, com parte achatada ao centro. De fundo de cor preta, linhas em azul-claro com pequenos pontos espalhados.  Fim da imagem.

LEGENDA: Vírus causadores da gripe (em azul) atacando células do sangue (em vermelho). Imagem obtida com microscópio eletrônico, colorizada artificialmente. Aumento de 6 800 vezes. FIM DA LEGENDA.

Com os avanços da Ciência, os vírus têm sido utilizados também na indústria e na área da saúde. Veja um exemplo a seguir.

LEGENDA: A cientista brasileira Margareth Ozelo estuda como há vírus que podem auxiliar no tratamento de pacientes com hemofilia . Fotografia de 2021. FIM DA LEGENDA.

Imagem: Ícone: Atividade oral. Fim da imagem.
  1. Se os vírus não têm células, por que alguns pesquisadores defendem a ideia de que eles são seres vivos?

Boxe complementar:

Hora da leitura

  • Viagem ao mundo dos micróbios, de Samuel Murgel Branco, Editora Moderna, 1992.

Fim do complemento.

26

As bactérias

As bactérias são seres vivos microscópicos formados por uma única célula. Elas estão entre os menores seres vivos da Terra.

Como as bactérias são invisíveis a olho nu, é difícil notarmos a presença delas. Existem muitos tipos de bactéria. Elas podem estar no ar, na água, no solo e no corpo de outros seres vivos. Algumas vivem em locais onde o ser humano não conseguiria sobreviver, como em regiões profundas do oceano, perto de vulcões e também em locais extremamente frios.

A maioria das bactérias não provoca nenhum mal aos seres humanos, mas muitas pessoas já devem ter ouvido falar em malefícios que elas causam. As cáries, o cheiro de suor e de chulé, e doenças como o botulismo, o tétano e a cólera são provocados por bactérias. A ingestão de alimentos contaminados por certos tipos de bactéria, por exemplo, pode causar vômitos e diarreia.

Imagem: Fotografia microscópica. Bactérias com formato arredondado aglomeradas de cor verde, amarelo, lilás e partes em roxo, com linhas finas na parte inferior. Fundo de cor preta.  Fim da imagem.

LEGENDA: Bactérias que vivem na pele humana. Imagem obtida com microscópio eletrônico, colorizada artificialmente. Aumento de 5 000 vezes. FIM DA LEGENDA.

LEGENDA: A bactéria Escherichia coli geralmente habita o intestino humano sem causar problemas de saúde. No entanto, em outras regiões do corpo é capaz de provocar infecções. Imagem obtida por microscópio eletrônico. Ampliação de 4 000 vezes. FIM DA LEGENDA.

  1. Leia o texto e responda às questões no caderno.

    Na pele habitam milhões de bactérias

    A pele humana abriga uma imensa diversidade de bactérias. Diferentemente do que muitos pensam, as bactérias que vivem em nossa pele são, em sua maioria, inofensivas. Muitas delas, inclusive, são essenciais para a saúde da pele.

    • Se muitas bactérias são inofensivas para o ser humano, por que é recomendável lavar as mãos?

      Imagem: Ícone: Atividade oral. Fim da imagem.

    1. Bactérias e vírus são microrganismos. Como é possível diferenciá-los?

27

Relações entre bactérias e outros seres vivos

A maioria das bactérias gera benefícios ou não é danosa a outros seres vivos.

Existem bactérias que habitam o intestino de animais e auxiliam na digestão do alimento, por exemplo. Diversas bactérias habitam o solo e o tornam mais rico em nutrientes, facilitando o crescimento das plantas. Outras participam do processo de decomposição da matéria orgânica.

No intestino humano vivem muitos tipos de bactéria que fazem parte do processo de digestão, produzem vitaminas e evitam o aumento do número de bactérias causadoras de doenças. A alimentação saudável, rica em frutas e hortaliças, beneficia as bactérias que atuam em nosso intestino.

Outro papel importante das bactérias para o ser humano é na produção de alguns alimentos, como o queijo, o iogurte e o vinagre. Até a produção de alguns remédios é feita com o uso de bactérias.

Imagem: Fotografia. Nove pedaços de queijo com o formato triangular. Alguns são de cor amarela, outros em branco, um branco com manchas em branco, outro de cor amarela com manchas em vermelho e outro queijo amarelo com manchas em marrom.  Fim da imagem.

LEGENDA: A ação das bactérias no leite é fundamental para a produção de diversos tipos de queijo. FIM DA LEGENDA.

Observação: LEGENDA: As imagens nesta página não estão na mesma proporção. Fim da observação.

Imagem: Fotografia. Três sementes de cacau com o formato arredondado na horizontal de cor marrom-claro, amarelo e laranja com manchas em marrom-escuro. À frente, gomos de cor marrom e à direita, barra de chocolate com parte cortada.  Fim da imagem.

LEGENDA: Diferentes tipos de microrganismo são utilizados na produção do chocolate derivado do cacau. As bactérias são responsáveis pelo processo que dá o sabor característico ao chocolate. FIM DA LEGENDA.

28

Leia o texto e responda às questões em seu caderno.

Bactérias que podem fazer chover

Além de vapor e gotículas de água, as nuvens também contêm bactérias vivas. Algumas delas podem facilitar a transformação da água em gelo.

Uma vez que gotas se congelam em torno desses microrganismos, eles ficam mais pesados e “caem” da nuvem.

Esse gelo pode derreter e se tornar pingos de chuva ou formar flocos de neve. Isso significa que essas pequenas formas de vida podem contribuir para a formação da chuva.

Imagem: Fotografia microscópica. Bastonetes de cor lilás com filamento finos na parte inferior em azul, com fundo preto.  Fim da imagem.

LEGENDA: A bactéria mostrada na imagem (Pseudomonas aeruginosa) pode facilitar a formação de flocos de neve. Imagem obtida por microscópio eletrônico, colorizada artificialmente. Aumento de 9 024 vezes. FIM DA LEGENDA.

  1. Localize no texto o que acontece com o gelo que estava em volta do microrganismo após ele cair da nuvem.
  1. Como você relaciona a variação da quantidade dessas bactérias no ar e o ambiente dos seres vivos? Em sua opinião, eles podem ser afetados?

    Escreva no caderno exemplos em que as bactérias e os vírus trazem malefícios aos seres humanos.

    A diarreia é uma doença bastante comum, que atinge principalmente crianças, e pode ser transmitida por diversos tipos de bactéria e vírus.

  1. Faça uma pesquisa e descubra alguns dos microrganismos que causam a diarreia.
  1. Indique algumas formas de prevenir a diarreia.

Boxe complementar:

Hora da leitura

  • Dudu e a tagarela Bac, Alane Beatriz Vermelho, Vieira & Lent, 2011.

Fim do complemento.

29

  1. Observe a imagem e faça o que se pede.
Imagem: Ilustração. Esquema. Números aproximados de tipos de microrganismos na pele humana. Legenda :  Em azul : Proliferam em ambiente oleoso. Em vermelho : Proliferam ambiente seco. Em verde : Proliferam em ambiente úmido.  Costas: Uma silhueta de uma pessoa na vertical da metade corpo virado para às costas.  Proliferam em ambiente oleoso : 15 - atrás da orelha;  25 - região da nuca;  17 - costas. Proliferam ambiente seco : 31 - região do cóccix. Proliferam em ambiente úmido: 33 – nádega; 35 - atrás do joelho; 36 - sola do pé. Frente: Uma silhueta de uma pessoa na vertical da metade corpo virado para frente.  Proliferam em ambiente oleoso : 23 - entre as sobrancelhas; 19 - canal auditivo externo; 18 - dobra no nariz 28 - peito Proliferam ambiente seco : 23 – antebraço 27 - palma da mão Proliferam em ambiente úmido: 18 – narinas  27 – axilas 39 – dobra do braço 39 – espaço interdigital 40 – umbigo 23 – dobra da virilha 18 – espaço entre os dedos  Fim da imagem.

FONTE: Elaborado com base em: MIOTO, Ricardo. Pele tem centenas de tipos de bactérias. Folha de S.Paulo , 29 maio 2009. Ciência.

  1. Escreva com suas palavras o que significa proliferar. Se não souber, consulte um dicionário impresso ou digital.
  1. Como os microrganismos que vivem na pele humana estão classificados na imagem?
  1. Identifique em qual local há mais tipos de microrganismos. Em seguida, relacione esse local ao tipo de ambiente em que ele está enquadrado.
  1. Cada planta ou animal abriga uma grande quantidade de minúsculos seres, e a esse conjunto de microrganismos chamamos microbioma. A ciência tem revelado, cada vez mais, os benefícios que os microbiomas trazem para o meio ambiente e para os seres vivos em que vivem.
    • Cite alguns benefícios do microbioma humano.

30

Capítulo 4. Os fungos e os protozoários

Os fungos

Fungos são seres vivos que podem ser formados por uma única célula, como as leveduras, ou por várias células, como os cogumelos e os bolores.

Imagem: Fotografia microscópica. Elementos redondos grandes, médios e pequenos, aglomerados na vertical em tons de verde, rosa e vermelho. Na parte inferior, camada com linhas finas.  Fim da imagem.

LEGENDA: Leveduras são fungos unicelulares de forma ovalada. Imagem obtida com microscópio eletrônico, colorizada artificialmente. Aumento de 3 200 vezes. FIM DA LEGENDA.

Imagem: Fotografia. Grama de cor verde-escura com folhas secas em amarelo com frutos pequenos vermelhos. Ao centro, três cogumelos com haste tubular branca e na parte superior, parte arredondada com base inferior reta de cor laranja. Ao fundo, flores de pétalas de cor lilás. Texto : Diâmetro do chapéu: 10 cm. Fim da imagem.

LEGENDA: Diâmetro do chapéu: 10 cm. FIM DA LEGENDA.

LEGENDA: Cogumelos são fungos formados por várias células, ou seja, são pluricelulares. FIM DA LEGENDA.

Algumas características externas, como a forma de se fixar no solo e o fato de não se locomoverem, fazem com que os fungos, muitas vezes, sejam confundidos com plantas. Porém, ao contrário das plantas, eles não produzem seu próprio alimento.

A maioria dos fungos se alimenta de restos de seres vivos, como folhas ou animais mortos. Por isso, assim como as bactérias, os fungos são importantes na decomposição de matéria orgânica.

Alguns fungos vivem associados a raízes de plantas e as ajudam a absorver água e nutrientes do solo. Outros vivem no corpo de animais e plantas e podem causar doenças.

Imagem: Fotografia. Fundo de cor marrom com protuberâncias e sobre elas, linhas finas de cor branca, com ramificações.  Fim da imagem.

LEGENDA: A micorriza é uma associação entre certos fungos e as raízes de algumas plantas que traz muitos benefícios para ambos. FIM DA LEGENDA.

  1. Os bolores são também conhecidos como mofo. Você já viu algum? No caderno, descreva como ele era e onde estava crescendo.

31

O corpo dos cogumelos e dos bolores é composto de fios compridos e finos, microscópicos, chamados hifas. As hifas crescem em meio ao solo, a restos de alimento, em troncos caídos, entre outros locais.

As partes desses organismos que crescem acima da superfície e que conseguimos ver são as estruturas relacionadas à reprodução, conhecidas como corpo de frutificação.

Observação: Os elementos da imagem não estão representados na mesma proporção. Cores fantasia. Fim da observação.

Imagem: Ilustração. Um cogumelo visto em corte. Na parte superior em laranja, com forma arredonda para cima : corpo de frutificação. Dentro do cogumelo, tubos finos de cor bege-claro aglomerados entre si. Na parte inferior, mesmas formas dentro do solo : hifas.   Ilustração. Um pão de forma mofado, de cor bege com a parte do morro à esquerda em marrom e manchas pretas. Mofo visto ampliado : tubos finos brancos com parte superior composta por esfera pequena preta : corpo de frutificação.  Fim da imagem.

LEGENDA: Nos cogumelos e bolores, grande parte do organismo fica abaixo da superfície. As partes que ficam acima da superfície são estruturas de reprodução. FIM DA LEGENDA.

Os fungos e o ser humano

Alguns fungos são utilizados na alimentação, como o champignon e o shimeji. As leveduras são usadas como fermento na produção de pães, bebidas alcoólicas e etanol, este usado como combustível de automóveis.

Alguns fungos também são usados na produção de antibióticos, isto é, remédios usados para causar a morte de bactérias que provocam doenças em outros seres vivos.

Imagem: Fotografia microscópica. Aglomerados na horizontal de bolinhas de cor cinza. Texto : Diâmetro do corpo de frutificação: 2 cm. Fim da imagem.

Diâmetro do corpo de frutificação: 2 cm.

LEGENDA: O shimeji é um cogumelo usado na alimentação. FIM DA LEGENDA.

Diâmetro da placa: 10 cm.

LEGENDA: A mancha clara no centro da placa de cultivo de microrganismos são fungos cultivados em laboratório para a produção de penicilina, um antibiótico. FIM DA LEGENDA.

32

Atividade prática

Experimento

Pão mofado

Você já viu um alimento estragado ou sentiu seu cheiro? Em quais condições um pão estraga mais facilmente?

O que você vai fazer

Testar o que acontece com o pão deixado em diferentes condições de umidade, temperatura e luminosidade.

Material

  1. Reunidos em grupos, coloquem uma fatia de pão em cada saco plástico.
  1. Umedeçam três bolinhas de algodão com água. Coloquem as bolinhas de algodão úmido em três sacos plásticos e as bolinhas de algodão seco nos outros três sacos.
  1. Fechem os sacos plásticos com os elásticos.
  1. Em seguida, coloquem um saco com algodão úmido e um saco com algodão seco em três locais diferentes: no refrigerador, no interior de um armário e em outro local escolhido pelo grupo. Observem se esse local apresenta uma ou mais características que diferem dos demais, considerando temperatura e incidência de luz.
  1. Anotem na etiqueta a data, se o algodão estava úmido ou seco e o local onde o pão foi colocado.
Imagem: Fotografia. Um saco plástico transparente com um pedaço de pão de forma de cor bege, com o contorno superior em marrom. Etiqueta com texto : 26/3 algodão seco armário.  Fim da imagem.
Imagem: Fotografia. Um saco plástico transparente com um pedaço de pão de forma de cor bege, com o contorno superior em marrom. Etiqueta com texto : 26/3 algodão úmido armário. Fim da imagem.

33

Levante suas hipóteses

Imagem: Ícone: Atividade oral. Fim da imagem.

  1. Em que condições você acha que o pão vai estragar mais rapidamente? Por quê?

    Agora, continue seu experimento com os passos a seguir.

  1. Observem, durante cinco dias, o que acontece com as fatias de pão em cada um desses locais.
  1. No caderno, façam um quadro como o do modelo abaixo. Lembrem-se de anotar a data da observação e de indicar o terceiro lugar escolhido pelo grupo. Para ter um registro bem completo, vocês também podem desenhar o aspecto de cada pão ou tirar fotografias.

    Tabela: equivalente textual a seguir.

    Data

    Refrigerador (lugar frio e sem luz)

    Interior de um armário (à temperatura ambiente e sem luz)

    Local escolhido pelo grupo

    Algodão úmido

    Algodão seco

    Algodão úmido

    Algodão seco

    Algodão úmido

    Algodão seco

    Para você responder

Imagem: Ícone: Atividade oral. Fim da imagem.

  1. Passados cinco dias de observação, discuta com os colegas do seu grupo as questões a seguir. Depois, escreva no caderno as conclusões de vocês.

    a) Em que condições o pão estragou mais rapidamente? Como ele ficou?

    b) Em que condições o pão estragou mais lentamente? Como ele ficou?

    c) Que explicação vocês dariam para o que foi observado?

    Imagem: Ícone: Atividade oral. Fim da imagem.

  1. Discutam os resultados com o restante da turma. Revejam as conclusões, levando em consideração os resultados de todos os grupos.

    Imagem: Ícone: Atividade para casa. Fim da imagem.

    Imagem: Ícone: Atividade oral. Fim da imagem.

  1. Com a ajuda de um adulto, identifique as condições de luz, de temperatura e de umidade em que os pães são armazenados na sua casa. Você considera essas condições adequadas?
Imagem: Ilustração. Três crianças sentadas de frente para carteiras escolares em rosa e parte inferior e bege. Elas estão usando uniforme composto por camiseta, bermuda e calça em azul. À direita, de frente para um menino visto de costas, de cabelos escuros, segurando lápis em verde, olhando para frente com a boca aberta. Ao fundo, menina morena de cabelos pretos presos para trás, segurando lápis em verde-claro na mão esquerda, ao lado dela, à esquerda, um menino de pele clara com cabelos castanhos e lápis verde-escuro na mão, olhando para frente com boca aberta. De frente para eles, um caderno de folhas brancas e espiral preta na vertical. Fim da imagem.

34

Para ler e escrever melhor

O texto descreve o maior ser vivo do mundo.

O maior ser vivo do mundo

O maior ser vivo do planeta não é um animal nem uma planta: é um fungo. Seu nome científico é Armillaria solidipes, e ele é conhecido como cogumelo-mel, por causa de sua coloração marrom-amarelada. Esse organismo cresce no estado de Michigan, nos Estados Unidos, e se estende por uma área equivalente a mais de 1.000 campos de futebol!

Não é muito fácil ver esse organismo na superfície, pois a maior parte do seu corpo é composta de hifas que se espalham em meio ao solo. Elas se alastram por muitos quilômetros.

Para o fungo se alimentar, as hifas fixam-se nas raízes de árvores e liberam substâncias capazes de quebrar os componentes da madeira em partes menores para, depois, absorvê-los. Muitas árvores ficam fracas por causa da ação do fungo e acabam morrendo.

A parte visível desse fungo são os cogumelos, que aparecem no outono. Nessa época do ano, é possível observar muitas dessas estruturas reprodutivas, que brotam dos filamentos e chegam a atingir 20 centímetros de altura cada uma.

Imagem: Fotografia. À frente, sobre grama verde, cogumelos de cor laranja, com parte arredondada acima e hastes finas na vertical em baixo em amarelo. Em segundo plano, vegetação rasteira de cor verde e outras em marrom. Texto : Altura: 20 cm. Fim da imagem.

LEGENDA: Altura: 20 cm. FIM DA LEGENDA.

LEGENDA: Cogumelos-mel. FIM DA LEGENDA.

LEGENDA: Árvores afetadas pelo cogumelo-mel nos Estados Unidos, em 2019. FIM DA LEGENDA.

35

Analise

  1. Entre as características indicadas no quadro a seguir, escreva no caderno aquelas que foram apresentadas no texto para descrever o cogumelo-mel.

    Estrutura do corpo

    Textura

    Alimentação

    Nome

    Tamanho

    Odor

    Coloração

    Localização

Organize

  1. Copie o quadro abaixo no caderno e complete-o, escrevendo as informações que você localiza no texto sobre o cogumelo-mel.

    Tabela: equivalente textual a seguir.

    Armillaria solidipes

    Onde vive o maior organismo

    De que se alimenta

    Como é seu corpo

Observação: Os elementos da imagem não estão representados na mesma proporção. Cores fantasia. Fim da observação.

Escreva

  1. Escreva um texto no caderno que descreva o fungo orelha-de-pau com base na imagem e nas informações apresentadas a seguir.
Imagem: Ilustração. À esquerda, pedra de cor cinza com uma mosca em cima de asas de cor branca. Atrás da pedra, vegetação verde e local com grama em verde-claro. À direita, um tronco visto parcialmente em marrom, com estruturas arredondadas em vermelho de tamanho pequeno, médio e grande. Mais ao fundo, árvore de troncos finos com vegetação verde.  Fim da imagem.

36

Os protozoários

Os protozoários são seres microscópicos unicelulares. Na maioria dos casos, não produzem seu próprio alimento e alimentam-se de outros seres vivos ou de restos deles.

Protozoários podem ser de vida livre e habitar o mar, a água doce ou o solo úmido. Alguns vivem dentro de outros seres vivos. No interior do intestino de cupins e bois, por exemplo, há protozoários que os ajudam na digestão de alguns tipos de alimento.

Eles têm diferentes estruturas de locomoção, como cílios, flagelos e projeções do corpo.

Imagem: Fotografia microscópica. Um paramécio de corpo alongado com as pontas arredondadas de cor bege, com cílios pequenos em volta. Dentro do paramécio, uma mancha pequena em marrom.  Fim da imagem.

LEGENDA: O paramécio é um protozoário de água doce que se locomove pelo batimento dos cílios. Imagem obtida com microscópio eletrônico, colorizada artificialmente. Aumento de 640 vezes. FIM DA LEGENDA.

Imagem: Fotografia microscópica. Vários círculos de cor rosa claro e um em rosa-escuro : células do sangue. Perto dos círculos, filamento fino de cor azul-escuro: flagelo.  Fim da imagem.

LEGENDA: O tripanossomo é um protozoário flagelado que causa a doença de Chagas. Imagem obtida com microscópio eletrônico, colorizada artificialmente. Aumento de 600 vezes. FIM DA LEGENDA.

Imagem: Fotografia microscópica. Ameba, corpo disforme translúcido com pontas similares a pequenos tentáculos abaixo e um para cima. Dentro das amebas, esferas de cor rosa-claro e rosa-escuro, sobre fundo preto.  Fim da imagem.

LEGENDA: A ameba é um protozoário de água doce que se desloca projetando partes da célula. Imagem obtida com microscópio eletrônico, colorizada artificialmente. Aumento de 160 vezes. FIM DA LEGENDA.

  1. Observe as imagens abaixo e responda no caderno.
Imagem: Ilustração A. Um corpo alongado na diagonal para a direita, com círculos, linhas e cubo dentro do corpo e ao redor dele, na parte externa, pequenos cílios pequenos.  Ilustração B. Um corpo disforme com pontas similares a tentáculos ao redor, com esfera dentro e filamentos finos dentro. Ilustração C. Um corpo azul arredondado e ponta fina para baixo, com borda ao redor fina. Na parte superior, quatro linhas finas na parte superior.   Fim da imagem.

Elementos representados fora de proporção. Cores fantasia.

  1. Qual dos protozoários acima se locomove pelo batimento de cílios?
  1. Como se locomove o protozoário da imagem B?
  1. Quantas células tem cada protozoário das imagens?

Boxe complementar:

Hora de acessar

  • Micromundo – O mundo microscópico. Canal Butantan. Disponível em: http://fdnc.io/fpM. Acesso em: 24 jun. 2022. O vídeo apresenta registros reais de diversas funções vitais de alguns protozoários invisíveis a olho nu e de suas relações com o meio ao seu redor.

Fim do complemento.

37

Relações entre protozoários e outros seres vivos

Os protozoários alimentam-se principalmente de bactérias e fungos, e servem de alimento para outros seres. Dessa forma, assim como ocorre com os demais organismos, os protozoários participam da cadeia alimentar, ou seja, eles fazem parte das relações alimentares que ocorrem entre os seres vivos de determinado ambiente.

No processo de tratamento da água que ocorre em estações de tratamento de esgoto, alguns tipos de protozoários são utilizados para retirar bactérias e partículas sólidas da água.

Alguns protozoários podem causar doenças em plantas e animais. No ser humano, por exemplo, um protozoário transmitido por mosquitos pode causar a malária; água e alimentos contaminados podem transmitir amebíase. Em cães, certos protozoários podem causar doenças graves, como a babesiose.

Imagem: Fotografia microscópica. Formas arredondadas escuras com parte arredonda mais clara dentro : célula do sangue. Sobre algumas dessas formas, manchas pequenas de cor roxa : protozoário.  Fim da imagem.

LEGENDA: Imagem obtida por microscópio eletrônico, colorizada artificialmente. Aumento de 450 vezes. FIM DA LEGENDA.

Carrapato-vermelho-do-cão, que mede 0,5 cm de comprimento.

LEGENDA: A babesiose é transmitida pelo carrapato e afeta células do sangue de cães. FIM DA LEGENDA.

Imagem: Fotografia. Um cão sentado de pelos de cor marrom-claro, com parte inferior em branco no pescoço, corpo e nas pontas das patas e coleira vermelha no pescoço.  Fim da imagem.
  1. Leia o texto, observe as imagens e responda às questões no caderno.

    A giárdia é um protozoário que pode viver no intestino humano e causar uma doença chamada giardíase. A transmissão ocorre pela ingestão de água ou alimentos contaminados. Os sintomas principais são diarreia e dor abdominal.

    1. A giárdia é um organismo formado por uma ou por muitas células?
    1. Observe a imagem e identifique a estrutura de locomoção da giárdia. De que forma você acha que ela se locomove no intestino humano?
    1. Com base no texto, como você acha que é possível prevenir a giardíase?
Imagem: Fotografia microscópica. Giárdia, corpo na vertical com forma arredondada na parte de cima e mais afinada na parte inferior, de cor bege. Sobre este corpo, linhas e mais na ponta, duas linhas longas e finas. Fundo de imagem de cor preta.  Fim da imagem.

LEGENDA: Giárdia vista ao microscópio eletrônico, colorizada artificialmente. Aumento de 1 200 vezes. FIM DA LEGENDA.

38

Capítulo 5. Os microrganismos e a saúde

Os microrganismos nocivos à saúde podem entrar em nosso corpo de diversas formas. Conhecer essas formas de transmissão é uma maneira de se prevenir contra as doenças causadas por microrganismos.

Água ou alimentos contaminados

Alguns microrganismos patogênicos podem contaminar os alimentos e a água. Se forem ingeridos, eles podem provocar doenças como o cólera e a salmonelose, causadas por bactérias, e a amebíase e a giardíase, causadas por protozoários. Essas doenças têm como principais sintomas diarreia e dores abdominais.

Os elementos da imagem não estão na mesma proporção.

Imagem: Fotografia. Elementos diversos da esquerda para à direita : um pedaço de peito de frango cru, um pedaço de carne verde, outro pedaço de carne com osso branco, um pedaço de salmão de cor laranja. Um recipiente redondo com grãos em marrom-claro, marrom-escuro e uma folha verde pequena.  Fotografia. Um copo transparente com leite branco dentro, cheio.  Fotografia. Cinco ovos arredondados de cor marrom-claro.   Fim da imagem.

LEGENDA: A bactéria que causa a salmonelose se aloja em alguns alimentos de origem animal, como ovos, carne de frango e leite, e também em alimentos de origem vegetal, como grãos. FIM DA LEGENDA.

  1. A amebíase é uma doença transmitida pela ingestão de água ou de alimentos contaminados pela ameba causadora da doença.
    1. Faça uma pesquisa e descubra outra doença transmitida da mesma forma que a amebíase.

      Imagem: Ícone: Atividade oral. Fim da imagem.

    1. Converse com um colega sobre formas possíveis de prevenir essas doenças.
Imagem: Fotografia microscópica. Em fundo de cor amarelo-claro, duas esferas. À esquerda, esfera grande de cor cinza e à direita, uma esfera pequena preta. Ao redor, manchas escuras espalhadas.  Fim da imagem.

LEGENDA: A amebíase é causada pelo protozoário Entamoeba histolytica. Imagem obtida por microscópio óptico. Aumento de 1 150 vezes. FIM DA LEGENDA.

39

Contato com a pele

Há fungos presentes no ar que se alimentam das células mortas da pele. Esse tipo de fungo pode causar uma doença conhecida como micose.

Outros microrganismos entram no corpo através de feridas na pele. É o caso do tétano, doença causada por uma bactéria e que pode ser grave se não houver tratamento adequado.

Imagem: Fotografia. Dois pares de sapatos em pé, encostados sobre parede de cor marrom. O par da esquerda, em azul, com cadarço branco e à direita, tênis em azul, cadarço em laranja e parte superior em branco.  Fim da imagem.

LEGENDA: Manter os calçados limpos e secos, assim como lavar e enxugar bem os pés, são hábitos que evitam a instalação dos fungos que causam a micose. FIM DA LEGENDA.

Picada de insetos

Muitas doenças causadas por microrganismos são transmitidas pela picada de insetos. É o caso de dengue, zika, chikungunya e febre amarela, que são causadas por vírus e podem ser transmitidas pelo mosquito Aedes aegypti. A malária e a doença de Chagas, causadas por protozoários, também são transmitidas por insetos.

Imagem: Fotografia. Um mosquito longo de cor preta com partes pequenas brancas, com patas finas, traseiras mais longas, cabeça pequena. Ele está sobre pele clara de uma pessoa com fios finos. Texto : Comprimento: cerca de 0,5 cm. Fim da imagem.

Comprimento: cerca de 0,5 cm.

LEGENDA: Ao picar uma pessoa, um mosquito contaminado pode inserir microrganismos patogênicos na corrente sanguínea da vítima. Na fotografia, o mosquito Aedes aegypti. FIM DA LEGENDA.

Imagem: Fotografia. Vista do alto para baixo de um inseto grande de cor marrom, com o corpo arredondado para à esquerda e à direita, cabeça pequena. Ele tem patas finas, grandes na parte traseira e finas na parte de cima, curtas. Ele está sobre base de madeira em bege e cinza.  Fim da imagem.

Comprimento: cerca de 1 cm.

LEGENDA: O inseto barbeiro transmite o protozoário causador da doença de Chagas. FIM DA LEGENDA.

40

Gotículas de saliva

Certos microrganismos que causam doenças estão presentes na saliva e podem ser lançados no ambiente sempre que as pessoas doentes tossem ou espirram. Quando essas gotículas atingem o nariz, os olhos ou a boca de outra pessoa, ela pode adoecer. Essa é a forma de transmissão de doenças como gripe, resfriados, sarampo e catapora, causadas por vírus.

Imagem: Fotografia. Vista parcial de pessoa vista de costas, dos ombros para cima. Ela tem pele clara, com cabelos castanhos curtos lisos, com blusa de mangas compridas de cor bege. A pessoa está espirrando para frente, soltando gotículas de água, com mãos para frente do rosto dela.  Fim da imagem.

LEGENDA: Quando espirramos, liberamos milhares de gotículas de saliva. FIM DA LEGENDA.

As gotículas de saliva podem cair sobre objetos, como maçanetas, cadeiras e mesas. Assim, ao tocarem esses objetos, outras pessoas podem ser contaminadas.

Da mesma forma, pessoas podem ser contaminadas ao compartilhar utensílios de cozinha, como copos e garfos, com uma pessoa doente. Por isso, esses utensílios precisam ser higienizados corretamente antes de serem utilizados.

  1. Copie o quadro a seguir no caderno e complete as lacunas com as informações que estão faltando.

    Tabela: equivalente textual a seguir.

    Doença

    Microrganismo causador

    Transmissão

    Dengue

    Vírus

    Malária

    Picada de inseto

    Gripe

    Vírus

    Micose

    Contato com a pele

    Doença de Chagas

    Protozoário

    Cólera

    Ingestão de água contaminada

41

Prevenção de doenças

Os microrganismos que causam doenças podem estar nos mais diversos locais, muitos deles sujos, onde costumam se proliferar. Por isso, é importante cuidar da limpeza dos ambientes e evitar frequentar lugares sujos, que possam estar contaminados.

É importante lavar bem os alimentos antes de ingeri-los e consumir apenas água tratada. Ferver a água antes de bebê-la ajuda a eliminar os microrganismos causadores de doenças.

Também deve-se evitar colocar as mãos sujas em machucados, no nariz, na boca e nos olhos. Sempre que for espirrar, coloque um lenço ou o braço na frente da boca. Quando espirrar nas mãos, lave-as em seguida para evitar contaminar os objetos que tocar.

Hábitos de higiene, como lavar as mãos antes das refeições e após usar o banheiro, tomar banho, cortar as unhas, manter roupas e sapatos limpos e escovar os dentes após as refeições, são muito importantes para a manutenção da saúde.

Imagem: Fotografia. Vista da cintura para cima de menino de pele clara, cabelos castanhos para à esquerda, com camiseta de cor branca, espirrando com o braço esquerdo de frente para o rosto, olhos fechados.  Fim da imagem.

LEGENDA: Ao espirrar, use a dobra do braço para evitar espalhar gotículas de saliva no ambiente. FIM DA LEGENDA.

Imagem: Ícone: Atividade oral. Fim da imagem.

  1. Como você previne doenças no seu dia a dia?
  1. Observe o cartaz abaixo e responda às questões em seu caderno.
Imagem: Fotografia. Um cartaz com fundo em azul-claro e parte superior, fina em amarelo na horizontal. Ao centro, uma folha branca pendurada com pino vermelho à direita, com ilustração em azul de uma gota dando as mãos para um sabonete quadrado em amarelo e à direita, uma mão laranja para cima. Todos estão de mãos dadas, com olhos e sorrindo. Texto : 05 maio – Dia mundial de higienização das mãos – Salve vidas: Higienize as mãos.  Fim da imagem.

LEGENDA: Cartaz produzido pela Agência Estadual de Vigilância em Saúde do estado da Paraíba, em 2018. FIM DA LEGENDA.

  1. Qual é o tema do cartaz?
  1. Em sua opinião, qual é a importância da mensagem desse cartaz?

42

  1. Faça uma pesquisa sobre a frieira (pé-de-atleta) e identifique as formas de transmissão da doença. Em seguida, escreva uma mensagem e faça um desenho mostrando como é possível preveni-la.
  1. Veja a sequência de ações que o menino realizou antes de ir à escola e responda às questões em seu caderno.
Imagem: Ilustração. Composta por três etapas, apresenta como personagem um menino de pele clara, cabelos castanhos.  Q1 – Texto : Tomou banho. Menino visto da barriga para cima, sem roupa, tomando banho debaixo de um chuveiro por onde sai alga. Ele está de olhos fechados, com a mão esquerda sobre o rosto dele.  Q2 – Texto : Tomou café e se esqueceu de escovar os dentes. À esquerda, pia branca com vista parcial com torneira cinza e sobre a pia, pote de cor azul-claro com detalhes em verde, com pasta e escova de dente em laranja. À direita, menino virado para à direita, visto dos joelhos para cima, com camiseta branca, com detalhes e calça em laranja, com mochila de cor verde sobre as costas. Q3 – Texto : Não lavou as mãos após usar o banheiro. O menino visto dos joelhos para cima, com a mão direita para frente, com porta de cor verde-claro, com símbolo de menino com silhueta preta de menino.   Fim da imagem.
  1. Você acha que o menino está tomando cuidado com a própria higiene?
  1. Que conselhos você daria a ele?
  1. Por que é importante seguir esses conselhos?
  1. Indique, em seu caderno, a relação entre as formas de transmissão das doenças (números) e os meios de preveni-las (letras).

Formas de transmissão

  1. Picada de inseto.
  1. Ingestão de água contaminada.
  1. Contato com a pele e com machucados.
  1. Contato com gotículas de saliva.
  1. Ingestão de alimentos contaminados.

Meios de prevenção

a. Lavar as mãos após espirrar.

  1. Combater o mosquito transmissor.

    c. Ferver a água antes de beber.

  1. Lavar bem os alimentos antes de ingeri-los.
  1. Manter a higiene corporal e do ambiente.

Imagem: Ícone: Atividade oral. Fim da imagem.

  1. A Covid-19 é uma doença transmitida principalmente por meio do contato com pequenas gotículas que contêm o vírus SARS-Cov-2, que são expelidas por pessoas infectadas. Uma das maneiras de prevenir a doença é por meio do uso de máscaras.
    • De que forma essa medida pode evitar a transmissão da doença?

43

Atividade prática

Exposição de arte

Pequenos seres vivos

A riqueza de formas e de cores dos seres vivos costuma servir de inspiração para muitos artistas criarem suas obras de arte.

O que você vai fazer

Elaborar uma obra de arte inspirada em um ser vivo e organizar uma exposição.

Imagem: Fotografia. Um microrganismo para à direita, com o corpo translucido, coberto por centenas de filamentos finos, com as pontas da esquerda com dois filamentos longos e finos de cor transparentes. O microrganismo está em solo branco, com o fundo em preto.  Fim da imagem.

LEGENDA: E. coli, escultura de vidro representando um microrganismo, feita pelo artista inglês Luke Jerram, em 2009. A escultura mede 105 cm de comprimento. FIM DA LEGENDA.

Como você vai fazer

  1. Escolha um dos seres vivos mencionados nas entrevistas do começo da unidade. Procure imagens dele em livros e na internet.
  1. Com base no que você descobriu em suas pesquisas, crie uma obra de arte inspirada nesse ser vivo. Pode ser uma escultura feita com sucata, uma colagem ou um desenho feito com lápis colorido, canetinhas hidrocor ou tintas guache, por exemplo.
  1. Dê um título à sua obra de arte e identifique-a com seu nome.
  1. O professor vai organizar uma exposição com as obras de arte da turma. Aproveite para ver o que os colegas produziram.
Imagem: Ilustração. Duas crianças e uma mulher de frente para uma mesa marrom com esculturas e cartazes que representam microrganismos. À esquerda, menina vista de costas, morena de cabelos castanhos presos no alto, com camiseta de cor vermelha com detalhe em branco, com calça de cor laranja, com sapatos de cor roxo e detalhes em branco. Ela está com a mão direita para frente, e perto dela, na mesa, uma escultura composta com pequenos círculos de cor amarela. À direita, menino visto de frente, de pele clara, com cabelos pretos, com camiseta de cor azul-claro, com bermuda de cor roxo e sapatos em verde e laranja, com a mão direita para frente. Na ponta da direita, mulher de pele clara, com cabelos longos castanhos com blusa de mangas até os cotovelos em vermelho, colete rosa, calça azul e sapatos em azul-claro com detalhes em verde e rosa. Ela está com a mão esquerda sobre queixo. Ao centro de uma mesa marrom, uma escultura com forma superior hexagonal, haste na vertical e pontas finas, de cor azul-claro. Em segundo plano, parede verde, com folhas com ilustrações. Na parte superior, escultura pendurada com linhas na horizontal com o formato de bastonete em vermelho, com dois filamentos finos. Fim da imagem.

44

Atividade prática

Divulgação

Imagem: Ilustração. À esquerda, menino de pele clara, cabelos castanhos com camiseta de cor verde, bermuda marrom e sapatos em verde-escuro e branco. Ele está com o dedo indicador da mão direita para o alto. De frente para ele, um homem de pele morena, cabelos castanhos, com camiseta de cor laranja, com calça de cor cinza, sapatos em marrom. Ele segura na mão esquerda um folheto de cor cinza. Em segundo plano, arbustos de cor verde.  Fim da imagem.

Folheto educativo

O conhecimento sobre os microrganismos que causam doenças é muito importante para a saúde pública. É preciso que todas as pessoas se informem sobre as situações em que há risco de contrair doenças e tenham atitudes que ajudem a evitá-las, especialmente as doenças mais comuns no lugar onde se vive.

Uma maneira de ajudar é organizar campanhas educativas. Com informação adequada, é muito mais fácil agir de forma correta.

O que você vai fazer

Elaborar um folheto educativo sobre uma doença comum no seu bairro ou na sua cidade.

Como você vai fazer

Etapa 1: Levantando informações sobre a doença

  1. Entreviste algumas pessoas da sua comunidade para saber que doenças elas contraíram recentemente.

    Imagem: Ícone: Atividade em grupo. Fim da imagem.

  1. Reúnam-se em grupos e escolham uma das doenças entre as mais citadas pelos entrevistados. Procurem informações sobre a doença selecionada em livros, em revistas ou na internet.
  1. Procurem também imagens que possam ajudar a informar as pessoas a respeito da doença e de sua prevenção.

    Etapa 2: Levantando informações sobre o folheto educativo

  1. Com o professor, organizem uma visita a um posto de saúde da região. Observem os materiais de divulgação que estão disponíveis: cartazes, vídeos e folhetos. Se for possível, coletem alguns exemplares de folhetos educativos para servirem de inspiração para o que vocês vão produzir.
  1. Observem com mais atenção como são os folhetos educativos distribuídos nos postos de saúde. Reparem no tipo de informação que eles fornecem, se apresentam imagens, se têm muito texto, o tamanho das letras etc.

45

Etapa 3: Produzindo um folheto educativo

  1. Preparem um esboço do folheto. Planejem o tipo e o tamanho do papel que vocês vão utilizar, o tamanho da letra, a quantidade de figuras. Organizem as informações e as imagens que julgarem importantes e montem o folheto.
  1. Vocês podem tirar cópias dos folhetos e distribuí-las para as pessoas de sua comunidade. Se preferirem, montem o folheto no computador e divulguem-no em redes sociais virtuais ou aplicativos de mensagens.

    Para você responder

    Imagem: Ícone: Atividade oral. Fim da imagem.

  1. Após ter feito essa atividade, você aprendeu sobre as doenças que afetam sua comunidade? Você acha que esse aprendizado foi compartilhado com outras pessoas? Converse com a turma.

    Imagem: Ícone: Atividade oral. Fim da imagem.

  1. Observe a ilustração abaixo, que mostra alguns meios de comunicação.
Imagem: Ilustração. À esquerda, duas crianças vistas de costas, uma menina de pele clara, cabelos castanhos longos com vestido de cor lilás, com o dedo indicador da mão esquerda para o alto, de frente para um cartaz. Perto da menina, um menino de pele clara, cabelos castanhos, com camiseta de cor azul. No cartaz, texto : Prevenção da dengue, com ilustração de uma garrafa, pneu e colher colocando areia em vaso. À direita, uma mulher de pele morena, cabelos curtos e franja em preto, com blusa vermelha, calça azul e por cima, um jaleco de cor branca. Ela está com o dedo indicador da mão direita para cima. De frente para ela, uma mulher segurando uma criança que aponta para cartaz ao fundo. A mulher tem pele clara, cabelos castanhos, com vestes em rosa, de mangas curtas. À direita, homem de pele clara, cabelos e bigode de cor preta, com camisa de gola de cor azul. Ao fundo, uma tv em cinza-escuro, um boneco com a cabeça em formato de gota, de cor branca, com a mão para cima fazendo o sinal de V e texto : Campanha de vacinação.  Fim da imagem.
  1. Converse com os colegas sobre campanhas de prevenção de doenças que vocês já viram em outros meios de comunicação, como televisão, rádio, jornal, revista, outdoors etc. As doenças tratadas nessas campanhas são as mesmas que foram identificadas nas entrevistas realizadas?
  1. Que importância cada meio de comunicação tem na divulgação de informações sobre prevenção de doenças e cuidados com a saúde?

Imagem: Ícone: Atividade para casa. Fim da imagem.

  1. Distribua o folheto que vocês produziram às pessoas que vivem em sua casa. Converse sobre a doença e formas de preveni-la.

46

Capítulo 6. Tecnologia a favor da saúde

As vacinas

Ao tomar uma vacina, nosso corpo produz defesas contra certos microrganismos que causam doenças. Assim, o corpo fica protegido caso entre em contato com esses microrganismos.

As primeiras formas de vacinação são muito antigas. Os chineses já faziam uso dessa prática há quase mil anos, e outros povos da Ásia e da África também desenvolveram técnicas semelhantes. Por meio dessas técnicas, eles buscavam provocar uma forma mais branda de certas doenças; assim, quando as pessoas eram infectadas novamente, não voltavam a adoecer, prevenindo-se das formas mais graves dessas doenças.

Mais tarde, na década de 1790, um médico inglês chamado Edward Jenner fez muitos experimentos com uma variedade mais branda da varíola e desenvolveu uma técnica que chamou de vacina. Até hoje ele é considerado o inventor das vacinas.

Imagem: Fotografia. À frente, à esquerda, uma mulher agachada, de pele morena, cabelos pretos curtos com franja, usando regata de cor azul, com par de óculos de grau no rosto e par de luvas em branco nas mãos. Ela está injetando seringa na coxa de perna de um menino sobre o colo de uma mulher. Ele tem pele morena, cabelos pretos lisos, com regata de cor laranja, bermuda de cor verde, com os olhos fechados e cenho franzido. A mulher que segura ele tem pele morena, cabelos pretos em coque, vestida com regata preta, olhando para baixo e segurando perna do menino que leva injeção. Ao fundo, local com estante verde e prateleiras com remédios.  Fim da imagem.

LEGENDA: Durante os primeiros anos de vida, as crianças são vacinadas contra muitas doenças. Agente de saúde aplicando vacina contra o sarampo em menino indígena do povo Haliti Paresí em Campo Novo dos Parecis, Mato Grosso, em 2018. FIM DA LEGENDA.

47

  1. Todos os anos, antes do início do inverno no Brasil, o Ministério da Saúde promove campanhas de vacinação contra a gripe. Observe o cartaz da campanha e responda no caderno.
Imagem: Fotografia. Cartaz na vertical de cor verde com detalhes em branco. Na parte superior, personagem gotinha de cor branca, com cabeça de formato de gota, com coração à direita de cor amarela. Título : Movimento Vacina Brasil – Mais proteção para sua família. Na parte inferior, texto : Título grande : Vacinação contra a gripe. Mais abaixo, texto :  A partir de 23 março :  Idosos com 60 anos ou mais. Trabalhadores da saúde. A partir de 16 abril : Membros das forças de segurança e salvamento. Doentes crônicos. Caminhoneiros. Motoristas e cobradores de transporte coletivo. Portuários. População indígena.  A partir de 9 maio.  Professores. Crianças de 6 meses a menores de 6 anos. Grávidas.  Mães no Pós-parto. Pessoas com 55 anos ou mais. Pessoas com deficiência.  Na parte inferior, texto: Procure um posto de saúde e leve a sua caderneta de vacinação. Em caso de fila, mantenha uma distância de pelo menos 2 metros dos demais, principalmente os idosos.  Na ponta inferior à esquerda, texto :  Gripe. Tem que vacinar. A vacina não protege contra o coronavírus.  À direita, logotipo : Disque saúde 136, logotipo do ministério da saúde e do governo federal. Acima dos logos, site: Saiba mais em saude.gov.br/vacinabrasil  Fim da imagem.

LEGENDA: Cartaz de campanha nacional de vacinação contra a gripe do Ministério da Saúde, em 2020. FIM DA LEGENDA.

  1. O cartaz da campanha de vacinação reproduzido acima é voltado para quais grupos da população?
  1. No frio, os casos de gripe aumentam. Você acha que isso tem relação com a forma de transmissão da gripe? Por quê?
  1. Ana queria convencer sua avó a tomar a vacina contra a gripe. Para isso, disse que a vacina ajuda a tratar a doença. Você concorda com o argumento de Ana? Por quê?

Boxe complementar:

Hora de acessar

  • Um cientista, uma história/Oswaldo Cruz. Canal Futura. Disponível em: http://fdnc.io/etV. Acesso em: 25 jan. 2021. O vídeo conta a história do médico sanitarista Oswaldo Cruz, que ajudou a eliminar a varíola e outras epidemias.

Fim do complemento.

48

Os medicamentos

Quando o corpo está doente, existem medicamentos que podem ajudar. Alguns deles tratam os sintomas das doenças. No caso da gripe, por exemplo, eles são utilizados para reduzir sintomas como febre e dores pelo corpo.

Há medicamentos utilizados para matar microrganismos que causam infecções . É o caso dos antibióticos. Até a descoberta do primeiro antibiótico, em 1928, muitas pessoas morriam de doenças que hoje podem ser curadas por esses medicamentos.

Imagem: Fotografia. Uma mulher à esquerda, vista do busto para cima, de pele morena-claro com cabelos castanhos com cabelos amarrados, usando blusa de mangas compridas em azul-claro com gola branca. Ela está com a mão direita sobre a testa de uma criança à frente dela e a outra mão sobre a mão da criança. Ela tem pele morena-claro, com cabelos castanhos penteados para trás, com vestes brancas, olhando para a mulher de frente para ela. Fim da imagem.

LEGENDA: Quando estamos doentes, é importante ficar em repouso, manter uma alimentação saudável e ingerir bastante água para que o corpo possa se recuperar da doença. FIM DA LEGENDA.

Imagem: Fotografia em preto e branco. À esquerda, homem visto da cintura para cima, de cabelos claros, com blusa clara, gravata borboleta e colete escuro, com um jaleco claro sobre ele. Ele segura nas mãos, objeto com forma redonda de ferro. De frente para ele, à direita, mesa com dezenas de objetos e utensílios de formas redondas e frascos pequenos.  Fim da imagem.

LEGENDA: O biólogo Alexander Fleming em seu laboratório, em 1928. Ele descobriu a penicilina, o primeiro antibiótico utilizado como medicamento. FIM DA LEGENDA.

Todos os medicamentos devem ser usados apenas com a indicação e a orientação de um médico. Para que o medicamento contribua para a cura da doença, é preciso seguir as recomendações médicas de dosagem e o período de uso. A automedicação, isto é, tomar remédios sem consultar um médico, pode trazer sérios riscos à saúde.

49

Imagem: Ícone: Atividade oral. Fim da imagem.

  1. Leia o balão do quadrinho e responda.
Imagem: Ilustração. À esquerda, homem com o corpo para a direita, de frente para um balcão em farmácia. Ele tem pele clara, cabelos castanhos, com camiseta de cor vermelha, calça cinza, com a mão esquerda para frente, diz: Quero comprar esse remédio porque é o mesmo que a minha amiga tomou. Ela disse que ficou boa em pouco tempo! Atrás do balcão com caixa de remédio, observa o outro homem. Ele te pele clara, cabelos castanhos, com camiseta com gola de cor azul-claro, um braço sobre o outro, observando o outro com a sobrancelha esquerda para cima e a outra para baixo. Ao fundo, prateleiras com caixas de remédios.  Fim da imagem.
  1. Leia o texto, observe a imagem e responda em seu caderno.

Que tal uma reflexão sobre as propagandas de medicamentos e produtos farmacêuticos divulgados pela mídia?

Você liga a televisão, abre um jornal ou revista, vê cartazes e anúncios em outdoors, ônibus, trens, metrô: todos prometem maravilhas e alívios rápidos. [...]

Os medicamentos são essenciais quando receitados e usados adequadamente para diagnosticar, prevenir e curar doenças. Utilizados de maneira incorreta ou consumidos sem orientação médica, podem causar efeitos indesejáveis e oferecer sérios riscos à saúde.

FONTE: ANVISA. O que vale a pena saber sobre a propaganda e o uso de medicamentos. Brasília: Ministério da Saúde, 2008.

Imagem: Fotografia. Fundo branco com ilustração ao centro de um homem sentado sobre sofá de cor vermelha, com os braços para frente recebendo várias caixas de remédios que saem de televisão preta sobre mesa amarela. Ele tem pele morena, nariz grande, com blusa de mangas compridas em azul-claro, com calça verde e sapatos brancos. Ele está com os olhos bem abertos e braços para frente.  Texto : O que vale a pena saber sobre a propaganda e o uso de medicamentos.  Título : A informação é o melhor remédio.   Fim da imagem.

LEGENDA: Capa da cartilha da Anvisa sobre o uso de medicamentos. FIM DA LEGENDA.

  1. Que mensagem a imagem passa para você?
  1. As propagandas de medicamentos podem oferecer riscos? Explique.
  1. Faça uma pesquisa em jornais e revistas e selecione propagandas de medicamentos. Observe o espaço que elas ocupam e o que esses medicamentos estão se propondo a curar. Além de benefícios, as propagandas oferecem alguma orientação ou mencionam riscos ou cuidados que o consumidor deve tomar?

50

Equipamentos para diagnóstico

Atualmente, existem muitos equipamentos que permitem a visão de estruturas internas do corpo e que, por isso, ajudam no diagnóstico de doenças. Veja alguns exemplos.

Aparelhos de raios X e tomógrafos possibilitam examinar partes do corpo que não são visíveis externamente. Os raios X são utilizados principalmente para a observação de ossos e cartilagens. Já os tomógrafos possibilitam ver órgãos do corpo, como coração, intestino e cérebro.

Imagem: Fotografia. Raio x, com fundo em preto de braço para à direita na horizontal com ossos de cor branca, dois grandes na horizontal e nas mãos ossos de tamanhos médios e menores nos dedos.  Fim da imagem.

LEGENDA: Ossos do antebraço e da mão em uma imagem de raios X. FIM DA LEGENDA.

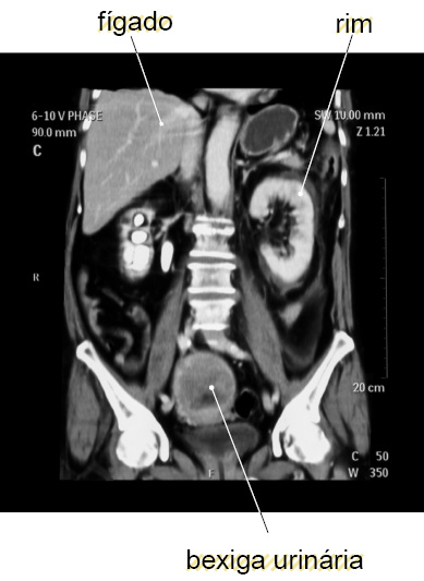
Imagem: Fotografia. Tomografia com fundo em preto, órgãos em tons de cinza. Na parte superior, à esquerda, parte larga na vertical : fígado. À direita, forma arredondada : rim. Na parte inferior, uma forma circular : bexiga urinária.  Fim da imagem.

LEGENDA: Tomografia do abdome de uma pessoa. FIM DA LEGENDA.

Imagem: Fotografia. Um paciente deitado em colchão de cor azul-claro, de pele clara, bermuda em cinza e roupa em verde-claro. Ao redor, máquina branca e ao centro, forma arredondada. À esquerda, um tubo verde de gás. Ao lado, homem de pele morena virado para à direita, com touca e máscara em branco, com jaleco de mangas curtas da mesma cor. Na outra extremidade, à direita, um homem com o corpo para à esquerda, de pele clara, cabelos escuros, com roupa longa de mangas compridas em azul-claro, uma máscara e par de luvas em branco.  Fim da imagem.

LEGENDA: Paciente sendo colocado em um tomógrafo. As imagens produzidas por esse aparelho são utilizadas para auxiliar em diagnósticos. Município de Manaus, Amazonas, em 2020. FIM DA LEGENDA.

51

Os microscópios ópticos permitem analisar diversos materiais, como sangue, urina e fezes. A análise do sangue, por exemplo, permite identificar se as células estão saudáveis e nas quantidades consideradas adequadas. Também é possível saber se há algum microrganismo nocivo à saúde presente no sangue.

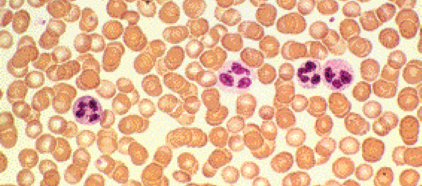
Imagem: Fotografia microscópica. Inúmeras esferas aglomeradas de cor marrom-claro, com três esferas rosas com esferas menores dentro de cor roxa.  Fim da imagem.

LEGENDA: Células do sangue humano saudável vistas ao microscópio óptico, colorizadas artificialmente. Aumento de 630 vezes. FIM DA LEGENDA.

Os exames de fezes também são capazes de identificar a presença de microrganismos causadores de doenças.

  1. Leia o texto e copie a alternativa correta no caderno.

    A malária é causada por um protozoário transmitido pela picada de um mosquito. Dentro do corpo humano, o protozoário vive parte de sua vida no sangue.

    • Um método de diagnóstico da malária é:

      ( ) Exame de raios X, para avaliar a saúde dos ossos do paciente.

      ( ) Exame de sangue ao microscópio, para verificar se há protozoário no sangue.

      ( ) Exame de fezes ao microscópio, para verificar se há protozoário nas fezes.

      ( ) Tomografia, para verificar em qual parte do corpo humano o protozoário se encontra.

    1. Como a tecnologia pode ser útil nos cuidados com a saúde?

      Imagem: Ícone: Atividade oral. Fim da imagem.

    1. Você já usou ou costuma usar alguma tecnologia para cuidar da sua saúde? Converse com os colegas sobre as tecnologias que você já usou e o que elas proporcionaram para a sua saúde.

52

Imagem: Ícone: Saúde. Fim da imagem.

LEGENDA: Saúde FIM DA LEGENDA.

O mundo que queremos

Calendário de vacinação

Você já deve ter tomado algumas vacinas em sua vida e deve continuar tomando outras ao longo dos anos para proteger sua saúde. A vacinação é um direito de todo cidadão brasileiro.

Desde 2004, existe um calendário obrigatório de vacinação para crianças, adolescentes, adultos e idosos. Isso quer dizer que o governo estabelece regras sobre datas, doses e tipos de vacinas a serem ministrados. Existe até um documento próprio para controlar as vacinas que uma pessoa já tomou e aquelas que ainda deve tomar: é a carteira de vacinação.

Essas ações garantem que muitas doenças sejam erradicadas ou que haja cada vez menos pessoas afetadas por elas.

Imagem: Fotografia. Uma carteira de vacinação de cor rosa-claro. Título : Registro das vacinas do calendário básico: Na parte superior e inferior, dados de vacinação em letra cursiva em azul e outros campos em preto com nome da vacina, data, número de dose.  Fim da imagem.

LEGENDA: Carteira de vacinação. FIM DA LEGENDA.

Imagem: Fotografia. À esquerda, vista parcial de uma pessoa de pele clara, com roupa de cor branca, com a mão esquerda sobre o ombro de uma mulher e mão direita com seringa sobre braço de mulher. A mulher tem pele clara, com blusa regata em branco, com partes floridas em vermelho e amarelo.  Fim da imagem.

LEGENDA: Vacinação contra a gripe no município de Londrina, Paraná, em 2020. FIM DA LEGENDA.

Outra ação importante são as campanhas de vacinação. Nas campanhas, o governo divulga informações em vários meios de comunicação e chama a população para ser vacinada.

Um exemplo bem-sucedido foram as campanhas contra a poliomielite, uma doença que causa a paralisia infantil. A vacinação contra essa doença é muito simples, basta engolir três gotinhas. Após as campanhas nacionais de vacinação, essa doença praticamente desapareceu no Brasil.

Mesmo fora dos períodos de campanha, as vacinas podem ser encontradas nos postos de saúde e não têm custo nenhum.

53

Você sabia?

Os animais de estimação também devem ser vacinados. As vacinas, além de protegê-los de doenças específicas de cada animal, também protegem as pessoas de doenças que podem ser transmitidas ao ser humano pelos animais, como a raiva e a leptospirose.

Imagem: Fotografia. Cartaz de cor cinza-claro, com manchas de patas de animal de cor verde. À esquerda, um gato visto do pescoço para cima de cor cinza com olhos amarelos e à direita, um cachorro de pelos de cor marrom-claro, com duas orelhas para baixo e coleira de cor cinza, com boca aberta, por onde vê-se língua de cor rosa.  Texto : Neste sábado 22 de setembro dia “D” vacine seu cão e gato! Campanha de vacinação antirrábica em castanhal. Proteja e Vacine seus animais contra Raiva.  Na parte inferior, logotipo do governo.   Fim da imagem.

LEGENDA: Campanha de vacinação de cães e gatos do município de Castanhal, Pará, em 2019. FIM DA LEGENDA.

Compreenda a leitura

  1. Quem tem direito à vacinação no Brasil?
  1. Quem regula as vacinas, as doses e as datas em que as pessoas devem ser vacinadas?

    Imagem: Ícone: Atividade oral. Fim da imagem.

  1. O que são as campanhas de vacinação?
  1. Por que os animais também devem ser vacinados?

Vamos fazer

Imagem: Ícone: Atividade oral. Fim da imagem.

  1. Observe, abaixo, o cartaz de uma campanha de vacinação contra a paralisia infantil.
    1. Quais informações você obtém nesse cartaz?
    1. Você já viu algum cartaz parecido? Lembra-se das vezes em que foi vacinado? Converse com os colegas.
Imagem: Fotografia. Cartaz na vertical de cor azul-claro na parte superior e parte inferior em branco. À direita, ilustração de Zé gotinha, de cor branca com gota na cabeça, com cruz azul no peito e letras da mesma cor: SUS. À esquerda, texto : Vem pra turma da vacinação – Vacinação contra o sarampo e a paralisia infantil. 4 a 31 de agosto de 2018 Dia D 4 a 31 Agosto de 2018 Para crianças de 1 a 4 anos de idade.  Na ponta inferior, texto : Levar a carteira de vacinação e o cartão SUS.  Mais abaixo, à esquerda : logotipo de Itararé e Secretaria da Saúde Vigilância Epistemológica.   Fim da imagem.

LEGENDA: Cartaz de campanha de vacinação contra a paralisia infantil do município de Itararé, São Paulo, em 2018. FIM DA LEGENDA.

Imagem: Ícone: Atividade em grupo. Fim da imagem.

  1. Em grupo, pesquisem quais vacinas devem ser tomadas nos dois primeiros anos de vida.
    • Escolham uma das vacinas e pesquisem sobre a(s) doença(s) que ela previne.
    • Se quiserem, podem pesquisar também sobre as vacinas dos animais de estimação.
    • Escolham as informações e elaborem um cartaz. Lembrem-se de que os adultos costumam ler os textos apresentados nos cartazes, mas as crianças pequenas aprendem mais com as imagens!

54

O que você aprendeu

  1. Leia o texto e observe a imagem.

O musaranho-pigmeu é o menor mamífero (em massa) do mundo. Ele pesa menos que uma moeda de 50 centavos: 2 gramas. Embora pequeno, é possível observá-lo a olho nu.

Imagem: Fotografia. Musaranho-pigmeu, de tamanho pequeno com o corpo similar a um roedor, de pelos marrons, orelhas pequenas e focinho fino. Ele está sobre formas arredondadas de cor verde e bege sobre folhas verdes. Texto: Comprimento : 5 cm. Fim da imagem.

Comprimento: 5 cm.

  1. Qual dos instrumentos abaixo você indicaria para as pessoas observarem em detalhes o musaranho-pigmeu? Explique sua resposta no caderno.

    ( ) Luneta

    ( ) Lupa

    ( ) Microscópio

  1. Qual é a importância desse instrumento?
  1. 2. Todas as imagens a seguir são de um microrganismo que ataca plantas, causando uma doença chamada ferrugem.
    1. Que tipo de observação foi feita em cada caso: olho nu (sem instrumento), com lupa ou usando um microscópio? Escreva em seu caderno.
Imagem: Fotografia A. Sobre folha de cor verde, com protuberâncias de cor marrom-claro.  Fim da imagem.
Imagem: Fotografia B. Sobre folhas verdes, pequenas bolinhas de cor marrom. Fim da imagem.
Imagem: Fotografia C. Forma arredondada, com parte em cinza-claro com pequenas esferas de cor cinza-escuro e partes internas de cor bege-claro. Ao redor, de cor preta.  Fim da imagem.
  1. Em qual das imagens é possível visualizar células?
  1. A ferrugem é um ser vivo unicelular ou pluricelular?
  1. 3. As afirmações abaixo estão incorretas. Reescreva-as em seu caderno, fazendo as correções necessárias.
    1. As células não têm vida.
    1. Somente organismos pequenos são formados por células.
    1. As células não precisam de alimento.

55

Avaliação processual

  1. Observe a tirinha a seguir e depois responda às questões no caderno.
Imagem: Ilustração. À esquerda, menina morena com cabelos encaracolados castanhos, com faixa em rosa, usando camiseta de cor azul-claro, espirrando para frente. À direita, menina de cabelos pretos, com blusa em amarelo e detalhas em lilás, olhando para à esquerda, para a menina que espirra. Ao fundo, árvores com troncos em roxo e marrom e folhas verdes acima.  Ilustração. À esquerda, mulher vista da cintura para cima, de pele clara, cabelos pretos curtos até a nuca, com camiseta de cor marrom, segurando nas mãos, xícara sobre pires branco, por onde sai fumaça. À direita, a menina de cabelos pretos descrita anteriormente, sentada sobre cama. Ela está com a ponta do nariz em vermelho, blusa de cor amarela e gola marrom. Sobre ela, cobertor rosa e atrás do corpo, travesseiro em azul-claro.   Fim da imagem.
  1. Por que a menina do segundo quadrinho ficou doente?
  1. Qual tipo de microrganismo causa a gripe? Cite algumas características desse microrganismo.
  1. Como a menina do primeiro quadrinho poderia ter evitado a transmissão da gripe para sua colega?
  1. Cite exemplos de microrganismos que costumam ser usados pelo ser humano em seu benefício.
  1. Leia o texto e responda no caderno.

As cáries são causadas por bactérias que vivem em nossa boca. Ao se alimentarem dos restos de comida, as bactérias produzem substâncias que corroem os dentes, provocando as cavidades chamadas cáries.

  1. Observe a fotografia e responda às questões no caderno.
Imagem: Fotografia. Dezenas de cogumelos com haste fina na vertical e parte superior arredondada em amarelo. Ao fundo, local com vegetação de cor verde na vertical. Texto : Altura: 10 cm. Fim da imagem.

Altura: 10 cm.

  1. A imagem mostra o fungo inteiro? Explique.
  1. O que diferencia fungos e plantas?
  1. Leia o texto e responda à questão no caderno.

Fabíola pegou uma fatia de pão e reparou que ele estava embolorado. Quando mostrou para seu irmão mais velho, ele disse: “Acho que dá pra usar o pão, é só raspar esse bolor”.

  1. A vacinação é importante? Por quê?